"หมอมนูญ" เล่าเคสผู้ป่วยหญิงอายุ 84 ปี ป่วยหนักจากฝีในตับ-ติดเชื้อแบคทีเรียในกระแสเลือด ต้องนอนรักษาตัวในโรงพยาบาล 3 สัปดาห์ 

วันที่ 11 ก.ค. 2567 นพ.มนูญ ลีเชวงวงศ์ แพทย์เฉพาะทางด้านโรคระบบการหายใจ โรงพยาบาลวิชัยยุทธ โพสต์ข้อความผ่านเฟซบุ๊ก หมอมนูญ ลีเชวงวงศ์ FC โดยระบุว่า 

ผู้ป่วยหญิงอายุ 84 ปี เป็นโรคหอบหืด มีไข้สูง 2 วัน หนาวสั่น สับสน ไม่ปวดท้อง ไม่ไอ มาโรงพยาบาล วันที่ 15 มิ.ย. 2567 ความดันโลหิตต่ำ 77/44 มม.ปรอท อุณหภูมิ 40 องศาเซลเซียส หัวใจเต้นเร็ว 130 ครั้งต่อนาที ต้องรับเข้าห้องไอซียูทันที ตรวจร่างกาย มีไข้สูง ฟังปอดปกติ คลำท้องไม่เจ็บ ตับไม่โต เจาะเลือด เม็ดเลือดขาวในเลือดสูง 29,300 ค่าเอนไซม์ตับสูงเล็กน้อย SGOT 87, SGPT 73 

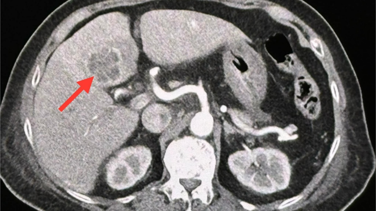
ทำอัลตราซาวนด์ช่องท้องด้านบน พบก้อนในตับข้างซ้ายขนาด 2.8 × 2.4 × 2.4 เซนติเมตร ส่งเลือดเพาะเชื้อ ขึ้นเชื้อแบคทีเรีย Klebsiella pneumoniae ทำคอมพิวเตอร์ช่องท้อง 2 วันต่อมา พบก้อนขนาด 3.3 × 3.3 × 2.8 ซม.ในตับข้างซ้าย เข้าได้กับฝีในตับ วินิจฉัย : ฝีในตับจากเชื้อแบคทีเรีย Klebsiella pneumoniae และติดเชื้อในกระแสเลือด ทำให้ช็อก ความดันต่ำ 

การรักษา ให้น้ำเกลือ ยากระตุ้นความดันโลหิต และยาปฏิชีวนะ ceftriaxone (ทดสอบแล้วในห้องปฏิบัติการว่าเชื้อตัวนี้ไวต่อยา) ทางหลอดเลือดดำ ได้ทำการเจาะหนองจากฝีในตับผ่านทางหน้าท้อง ได้หนอง 2 ซีซี ส่งหนองเพาะเชื้อขึ้นเชื้อ Klebsiella pneumoniae ตัวเดียวกับในเลือด หลังได้ยาปฏิชีวนะทางหลอดเลือดดำ คนไข้ดีขึ้น ไข้ลง ความดันกลับมาเป็นปกติ ไม่ปวดท้อง ติดตามอัลตราซาวนด์ของช่องท้องด้านบน 18 วันหลังได้ยาปฏิชีวนะ พบฝีขนาดเล็กลงเหลือ 2.1 × 1.9 เซนติเมตร

...

หลังได้ยาปฏิชีวนะทางหลอดเลือดดำใน รพ. 3 สัปดาห์ กลับบ้านได้ ให้ยาปฏิชีวนะชนิดรับประทานอย่างน้อยต่ออีก 3 สัปดาห์ และจะติดตามคอมพิวเตอร์ช่องท้องอีกครั้งหลังได้ยาปฏิชีวนะครบแล้ว คนไข้รายนี้เป็นผู้สูงอายุ ป่วยหนักมากจากฝีในตับและติดเชื้อแบคทีเรีย Klebsiella pneumoniae ในกระแสเลือด โชคดีมาโรงพยาบาลเร็ว นอนรักษาในรพ. 3 สัปดาห์กลับบ้านได้.

ขอบคุณเฟซบุ๊ก หมอมนูญ ลีเชวงวงศ์ FC