"หมอมนูญ" ยกเคสผู้ป่วยสูงอายุติดโควิด-19 มีเสมหะเหนียวข้น แต่ไม่สามารถไอออกได้ ทำให้หลอดลมอุดตันจนปอดแฟบทั้งข้าง สุดท้ายเสียชีวิต เผยพบเป็นรายที่ 2 แล้ว ภายในเวลา 1 เดือน

วันที่ 25 พฤษภาคม 2566 มีรายงานว่า นพ.มนูญ ลีเชวงวงศ์ แพทย์เฉพาะทางด้านโรคระบบการหายใจ โรงพยาบาลวิชัยยุทธ โพสต์ข้อความผ่านเฟซบุ๊กส่วนตัว ระบุว่า ผู้ป่วยหญิงอายุ 99 ปี มีโรคประจำตัวหลายโรค หัวใจเต้นผิดจังหวะ ไขมันสูง สมองเสื่อม ไม่พูด นอนติดเตียง ได้รับวัคซีนป้องกันโควิดซิโนแวค 1 เข็ม แอสตราเซเนกา 1 เข็ม และไฟเซอร์ 1 เข็ม

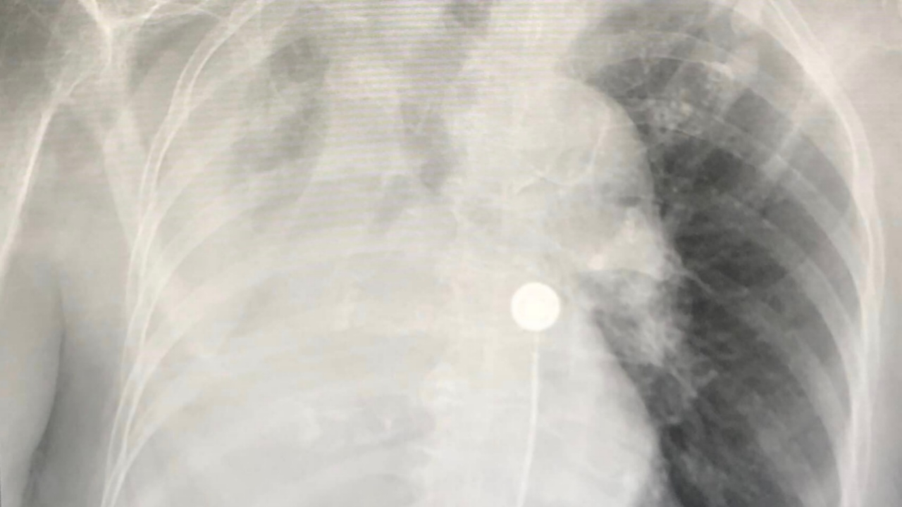
มาโรงพยาบาลวันที่ 9 พฤษภาคม 2566 ด้วยอาการไข้และเหนื่อย 2 วัน ระดับออกซิเจนที่ปลายนิ้วปกติ 98% ผล ATK บวก เอกซเรย์ปอดมีฝ้าขาวที่ปอดขวาด้านล่าง (ดูรูป)

วินิจฉัยเป็นปอดอักเสบจากการติดเชื้อไวรัสโควิด ให้ยาเรมเดซิเวียร์เข้าทางหลอดเลือด คนไข้มีเสมหะมาก เหนื่อยมากขึ้น ระดับออกซิเจนต่ำ ต้องย้ายเข้าห้องไอซียู ให้ออกซิเจนชนิด Hi-Flow เอกซเรย์ปอดซ้ำ เห็นปอดข้างขวาแฟบทั้งข้าง (ดูรูป)

ญาติปฏิเสธใส่ท่อหายใจเพราะอายุมากแล้ว ได้ทำการส่องกล้องเข้าไปในหลอดลมเห็นเสมหะสีขาวขุ่นเหนียวข้นปริมาณมากจนอุดตันหลอดลมด้านขวา หลังดูดเสมหะ เอกซเรย์ปอดดีขึ้น (ดูรูป) ให้ยาปฏิชีวนะร่วมด้วย คนไข้ดีขึ้นชั่วคราว ต่อมาปอดข้างขวาก็แฟบอีก (ดูรูป) อาการแย่ลง เสียชีวิตในที่สุด

คนกลุ่มเสี่ยงอายุมาก มีโรคประจำตัวหลายๆ โรค อาจป่วยหนักและเสียชีวิต เมื่อติดไวรัสโควิดสายพันธุ์โอมิครอนลูกผสม XBB ลักษณะที่แปลก แต่พบน้อยมากในผู้ป่วยสูงอายุ คือ มีเสมหะเหนียวข้นปริมาณเยอะมาก ถ้าไอไม่ออก หรือไม่มีแรงไอ อาจทำให้หลอดลมอุดตันถึงขั้นปอดแฟบใน 1-3 วันหลังติดเชื้อ

ผมเพิ่งเห็นผู้ป่วยสูงอายุมีปอดแฟบทั้งข้างเป็นรายที่ 2 ใน 1 เดือน คนแรกอายุ 83 ปีต้องใส่ท่อหายใจและเครื่องช่วยหายใจ ดูดเสมหะทางท่อหายใจ ในที่สุดถอดเครื่องช่วยหายใจ รอดชีวิตกลับบ้านได้.

...

ขอบคุณข้อมูลจาก เฟซบุ๊ก หมอมนูญ ลีเชวงวงศ์ FC