ท้องแล้วจ้า! นายเบญจพล นาคประเสริฐ ผอ.องค์การสวนสัตว์ พร้อมทีมงานวิจัยแพนด้าฯร่วมแถลงข่าว หลังจากใช้เครื่องมือทันสมัย ทำการอัลตราซาวนด์แพนด้าหลินฮุ่ย พบตัวอ่อนฝังอยู่ในมดลูก ชัดเจนว่าท้องแน่ รอวันคลอดออกมาเท่านั้น 

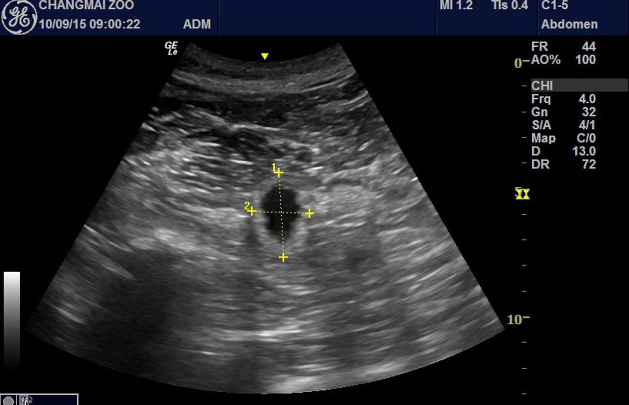
เมื่อเวลา 13.00 น.วันที่ 11 ก.ย.นี้ ที่ห้องประชุมอาคารสโมสรหมีแพนด้า ภายในสวนสัตว์เชียงใหม่ นายเบญจพล นาคประเสริฐ ผอ.องค์การสวนสัตว์ นายนิพนธ์ วิชัยรัตน์ รักษาการ ผอ.สวนสัตว์เชียงใหม่ และ น.สพ.ดร.บริพัตร ศิริอรุณรัตน์ หัวหน้าโครงการวิจัยและจัดแสดงหมีแพนด้า ในประเทศไทย รศ.น.สพ.ดร.สุดสรร ศิริไวทยพงศ์ อาจารย์ประจำภาควิชาสูติศาสตร์ เธนุเวชวิทยา และวิทยาการสืบพันธุ์ คณะแพทยศาสตร์ จุฬาลงกรณ์มหาวิทยาลัย ได้ร่วมกันแถลงข่าว การตรวจการตั้งท้องของแพนด้าหลินฮุ่ย พร้อมทั้งนำเครื่องอัลตราซาวนด์ ที่สุดทันสมัยได้รับการสนับสนุนจากบริษัท ไอดีเอส เมิคอล ซิสเต็มส์ จำกัด ที่เพิ่งใช้ในการตรวจอัลตราซาวนด์ แพนด้าหลินฮุ่ย ภาพปรากฏในมดลูกหลินฮุ่ยเห็นตัวอ่อนชัดเจน บ่งบอกถึงหลินฮุ่ยท้องแน่นอน

นายเบญจพล นาคประเสริฐ ผอ.องค์การสวนสัตว์ ได้แสดงอาการดีใจอย่างเห็นได้ชัด พร้อมกับบอกวัตถุประสงค์การแถลงข่าวว่า ทางทีมงานวิจัยหมีแพนด้า ได้ทำการอัลตราซาวนด์ แพนด้าหลินฮุ่ย เมื่อเช้าวันที่ 11 ก.ย.นี้ ถือว่า เป็นเวลา 82 วัน หลังจากที่ได้มีการผสมเทียม ทางทีมงานได้พบบางสิ่งบางอย่างภายในโพรงมดลูกหลินฮุ่ย ลักษณะคล้ายตัวอ่อนของแพนด้า เหมือนเดียวกันกับตอนที่ หลินฮุ่ย ให้กำเนิด หลินปิง รายละเอียดจะให้ทาง รศ.น.สพ.ดร.สุดสรร ศิริไวทยพงศ์ อาจารย์ประจำภาควิชาสูติศาสตร์ฯ ซึ่งเป็นผู้เชี่ยวชาญด้านระบบสืบพันธุ์ ทางองค์การสวนสัตว์ได้เชิญมาร่วมในการตรวจ แพนด้าหลินฮุ่ย

ทาง รศ.ดร.สุดสรร ได้เผยว่า จากการตรวจอัลตราซาวนด์ พบว่า ที่มดลูกหลินฮุ่ย หลังผสมเทียม ในวันที่ 81 มีโครงสร้างที่บ่งบอกว่า เป็นถุงหุ้มตัวอ่อนอย่างชัดเจน โดยมีขนาดกว้าง-ยาว ประมาณ 2.3 คูณ 2.7 ซม. แต่ยังตรวจไม่พบตัวอ่อนภายในถุงหุ้ม แต่พอมาถึง 82 วัน ก็คือ วันที่ 11 ก.ย.นี้ พบว่า ในตำแหน่งที่พบถุงหุ้มตัวอ่อนไปนั้น ได้พัฒนาไปเป็นลักษณะคล้ายโครงสร้างของตัวอ่อน ขนาดกว้างยาว 6.9 คูณ 1.9 ซม. แต่ยังไม่พบสัญญาณชีพใดๆ ซึ่งจากการตรวจ สามารถสรุปได้ 2 กรณี คือ กรณีพบถุงหุ้มตัวอ่อน ในวันที่ 81 นั้นเป็นการฝังตัวช่วงต้นในมดลูกหลินฮุ่ย โดยถุงหุ้มตัวอ่อนมีของเหลวอยู่ภายใน และไม่พบตัวอ่อน จากนั้น ตัวอ่อนจะเจริญอย่างรวดเร็ว ทำให้พบโครงร่างคล้ายตัวอ่อน ซึ่งในกรณีแรกนี้ ทำให้ค่อนข้างมั่นใจ ในการตั้งท้องของหลินฮุ่ย

อย่างไรก็ดี แพนด้า มีระยะเวลาการตั้งท้องที่แปรผันมาก ซึ่งวันนี้หลินฮุ่ยตั้งท้องเป็นวันที่ 82 วัน จึงอาจจะยังมีพัฒนาการที่ยังไม่สมบูรณ์ ทำให้บอกไม่ได้ว่า การพัฒนา จะเป็นไปในทางใด อาจพบการคลอดภายในเร็ววัน หรือในกลายกรณีของแพนด้าทั่วโลก อาจมีการดูดกลับตัวอ่อนได้เช่นกัน

น.สพ.ดร.บริพัตร ศิริอรุณรัตน์ หัวหน้าโครงการวิจัยและจัดแสดงหมีแพนด้าในประเทศไทย ได้กล่าวเสริมว่า ในครั้งนี้ทางทีมงานวิจัยฯ ได้มีการเตรียมความพร้อมเต็มที่ เพื่อจะให้หลินฮุ่ย กำเนิดลูกแพนด้า ตัวที่ 2 ของประเทศไทย ให้ได้ ซึ่งทางทีมงานได้เฝ้ารอว่า หลินฮุ่ยจะตกไข่เมื่อไหร่ ซึ่งในช่วงที่เฝ้ารอ ทางทีมงานก็ได้ทราบข่าวว่า แพนด้าทั้งที่อยู่ในประเทศจีน และต่างประเทศ ได้เกิดลูก ได้ลูกแฝดกัน จึงเป็นความหวังมากขึ้น ซึ่งก็เหมือน หลินฮุ่ย จะให้ความร่วมมือ ปรากฏว่า มีอาการเป็นสัดทางทีมงานจึงได้ผสมเทียมทันที ในวันที่ 21 มิ.ย.ที่ผ่านมา

จากนั้น ทางทีมงานก็ปล่อยให้หลินฮุ่ย ใช้ชีวิตอย่างเป็นธรรมชาติที่สุด ไม่สร้างความเครียด ให้กับหลินฮุ่ย จนล่าสุด อาการหลินฮุ่ย ได้ออกอาการแสดงความเป็นแม่อย่างชัดเจน จึงได้ใช้เครื่องมืออัลตราซาวนด์ที่ทันสมัยที่สุด มาดำเนินการตรวจหลินฮุ่ย จนพบตัวอ่อน ดังนั้น สิ่งที่จะต้องทำต่อไป นับตั้งแต่วันนี้จะต้องลดความเสี่ยงทุกๆ อย่าง ที่จะไม่ให้หลินฮุ่ย เครียด ไม่ให้กระทบสุขภาพร่างกายและจิตใจ และมีแผนเฝ้าระวังการตั้งท้องอย่างเต็มที่ ไม่ว่าจะเป็นที่อยู่อาศัย อาหารการกิน แต่ในช่วงนี้อาจจะให้หลินฮุ่ย ออกมาต้อนรับแฟนคลับ และนักท่องเที่ยวที่เข้ามาชม ก่อนจากนั้นเมื่อทุกอย่างชัดเจนหรือ ใกล้คลอด ซึ่งจะสังเกตได้ว่าจะต้องทำรังไว้ในหลายจุด ในส่วนที่หลินฮุ่ยชอบ และเมื่อใดที่หลินฮุ่ยเลียอวัยวะเพศ ซึ่งถือว่า เป็นการกระตุ้นในระยะสุดท้าย ก่อนที่จะคลอด ก็ต้องมีมาตรการคุมเข้มทันที เพราะในช่วงที่ คลอดหลินปิงนั้น หลินฮุ่ยเลียอวัยวะเพศได้ไม่กี่ครั้ง ก็คลอดออกมา

...

ดังนั้น นับจากวันนี้เป็นต้นไป ตลอด 24 ชั่วโมง ทีมพี่เลี้ยงจะทำการเฝ้าตลอด 24 ชั่วโมง ซึ่งตอนคลอดหลินปิง ท้องได้ 97 วัน แต่ในขณะนี้เป็นเวลา 82 วันแล้ว ดังนั้น อาจจะเชื่อว่า จะน้อยวันกว่าหรือจะมากวันกว่า จะออกลูกแฝด หรือ ตัวเดียว ก็ขอให้คลอดออกมาก่อน ซึ่งการตั้งท้องหลินฮุ่ย ก็หวังพึ่งสิ่งศักดิ์สิทธิ์เข้ามาเสริมด้วย ในวันนี้หลินฮุ่ย ไม่ได้ท้องเทียม แต่ขอยืนยันเลยว่า หลินฮุ่ยท้องจริงๆ และเป็นสิ่งที่เรารอคอยกันมานาน แต่อย่างไรก็ตาม ธรรมชาติเป็นสิ่งที่เร่งไม่ได้ ก็ขอให้ทุกคนนับวันรอก็แล้วกัน และขอให้ทุกๆคนช่วยเป็นกำลังใจให้หลินฮุ่ย และตัวอ่อนน้อยๆ ด้วย