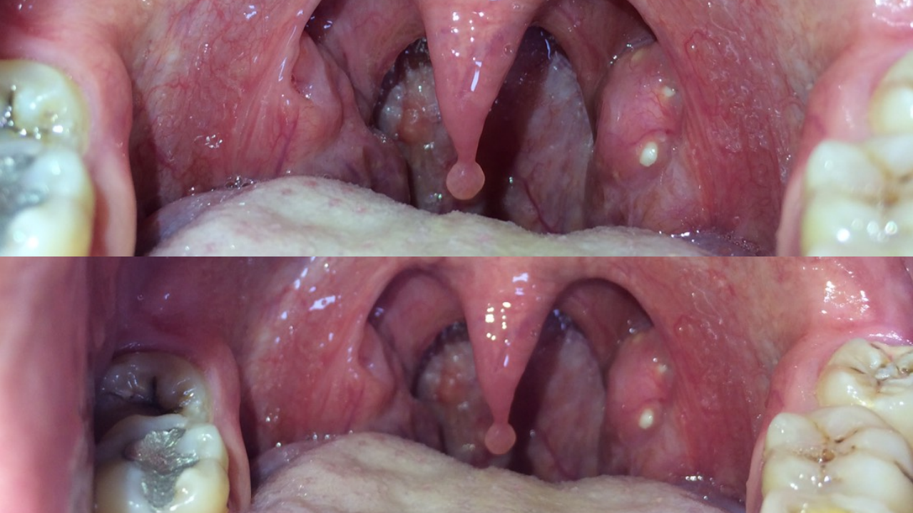
เพราะกลิ่นปากไม่ใช่เรื่องตลก!...ก้อนสีเหลืองอยู่ในคอ มีกลิ่นเหม็นรุนแรง บางครั้งก็หลุดออกมาเอง บางคราก็ฝังแน่นอยู่เช่นนั้น...ลองส่องไฟ มองผ่านกระจก ลองเช็กดู คุณมีไหม? ซึ่งเรากำลังจะบอกคุณว่า เจ้านี่แหละเป็นอีกหนึ่งตัวการสำคัญของปัญหากลิ่นปาก!

ผู้สื่อข่าว มีโอกาสได้พูดคุยกับนายแพทย์ผู้เชี่ยวชาญท่านหนึ่งจากโรงพยาบาลตา หู คอ จมูก ซึ่งนายแพทย์ท่านนี้ได้ให้ความรู้เกี่ยวกับ “ก้อนสีเหลืองอยู่ในคอ และมีกลิ่นเหม็นรุนแรง” ว่า ก้อนสีขาวเหลืองมีลักษณะเหมือนเนย และมีกลิ่นเหม็น อยู่ในหลุมลึกของบริเวณต่อมทอนซิลนั้นเรียกว่า นิ่วทอนซิล (Tonsillolith) หรือที่หลายคนอาจจะเรียกเป็นภาษาปากว่า ขี้ทอนซิล

“หลายคนอาจจะนึกว่า ก้อนสีเหลืองนั้น เป็นเศษอาหารตกค้างที่ติดอยู่บริเวณด้านในลำคอ แต่ความจริงแล้วไม่ใช่ เจ้าก้อนสีเหลืองนี้จะถูกสร้างขึ้นมาโดยธรรมชาติ และไม่มีอันตรายใดๆ ทั้งสิ้น แต่เจ้าก้อนนี้จะเป็นอีกหนึ่งตัวการสำคัญของปัญหากลิ่นปาก และอาจจะทำให้คุณเกิดอาการระคายเคืองได้” นายแพทย์จาก รพ.ตา หู คอ จมูก ให้ความรู้

...

ทั้งนี้ อาการของผู้ที่มีนิ่วทอนซิล หรือขี้ทอนซิลนั้น จะมีลักษณะดังต่อไปนี้ 1.มีกลิ่นปาก 2.รู้สึกเหมือนมีก้างปลาติดคอ 3.เจ็บคอ และ 4.เมื่อรับประทานอาหาร หรือดื่มน้ำ จะรู้สึกเหมือนว่ามีอะไรติดคอ

ในแง่ของการมีกลิ่นปากนั้น เมื่อลมหายใจผ่านก้อนนิ่วนี้ออกมา ก็จะส่งกลิ่นเหม็น จนส่งผลต่อการใช้ชีวิตประจำวันของคุณ เพราะเจ้าก้อนนี้จะทำให้คุณมีกลิ่นปาก และที่สำคัญ สามารถกลับมาเป็นซ้ำได้อีก แม้ว่าคุณจะกดเจ้าก้อนนี้ออกไปแล้วก็ตาม ซึ่งพบได้ประมาณ 3-4 คน จาก 10 คน นายแพทย์จาก รพ.ตา หู คอ จมูก กล่าว

อย่างไรก็ตาม วิธีการกำจัดนิ่วทอนซิล หรือขี้ทอนซิลนั้น แบ่งออกได้เป็น 3 วิธี ดังต่อไปนี้ 1.กดบริเวณที่มีขี้ทอนซิลด้วย ก้านสำลี แปรงสีฟัน ไม้แคะหูพันสำลี หรือของที่ไม่มีความคม และกดด้วยความเบามือ เพื่อป้องกันการบาดเจ็บ 2.ให้แพทย์เป็นผู้เอาขี้ทอนซิลออกให้ และ 3.รักษาโดยการผ่าตัด ซึ่งการตัดต่อมทอนซิลออก วิธีนี้จะเป็นการรักษาที่หายขาดที่สุด.

ขอบคุณภาพประกอบจาก คุณชาตรี ทองทับทิม