ออสเตรเลียพบ‘พยาธิตัวกลม’ จากงูในสมองคนเป็นครั้งแรกของโลก และยังมีชีวิตอยู่ขณะผ่าตัดออกมาจากสมอง คาดพยาธิตัวนี้อาศัยอยู่ในสมองของผู้ป่วยรายนี้นานกว่า 2 เดือน

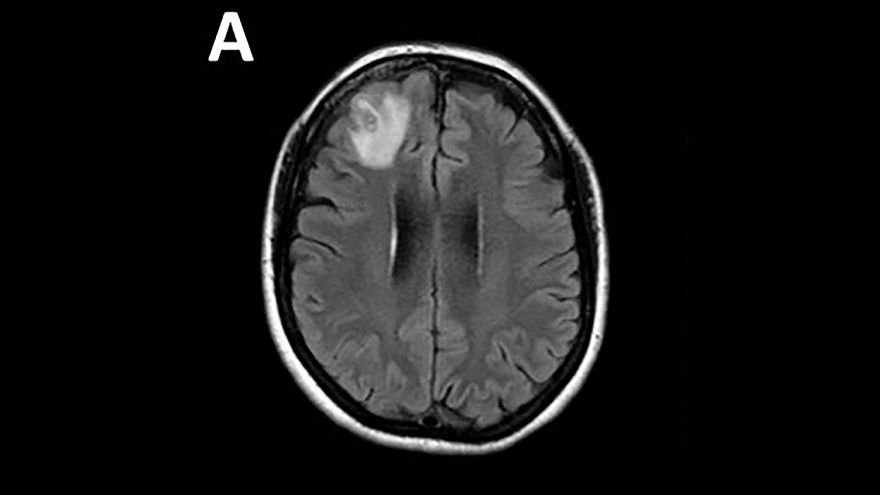
เมื่อวันที่ 29 ส.ค. 2566 สำนักข่าวต่างประเทศรายงาน โรงพยาบาลแคนเบอร์ราในเมืองแคนเบอร์รา ประเทศออสเตรเลีย ได้ตรวจพบความผิดปกติในสมองของหญิงรายหนึ่งวัย 64 ปี และเมื่อแพทย์ได้ตรวจอย่างละเอียดพบว่า ความผิดปกติดังกล่าวคือการที่มีพยาธิตัวกลม (Ophidascaris Robertsi) ยาวประมาณ 8 เซนติเมตร ยังมีชีวิตอยู่ในสมองผู้หญิงคนนั้น ทำให้เธอกลายเป็นผู้ป่วยแรกของโลกที่มีพยาธิชนิดนี้อยู่ในร่างกาย

‘Ophidascaris Robertsi’ เป็นพยาธิตัวกลม ที่พบได้ปกติในงู ซึ่งผู้ป่วยหญิงดังกล่าวก็อาศัยอยู่ใกล้ทะเลสาบซึ่งเป็นแหล่งที่อยู่อาศัยของงูหลาม จึงทำให้ คณะแพทย์สันนิษฐานว่า ถึงแม้หญิงวัย 64 ปีจะไม่ได้สัมผัสงูโดยตรง แต่เธอชอบเก็บพืชพันธุ์บริเวณรอบ ๆ ทะเลสาบไปปรุงอาหาร และพืชเหล่านั้นมีอุจจาระที่มีปรสิตของงูปนเปื้อนอยู่

คณะแพทย์และนักวิจัยจากมหาวิทยาลัยแห่งชาติออสเตรเลีย และโรงพยาบาลแคนเบอร์รากล่าวว่า การติดเชื้อพยาธิของผู้หญิงคนดังกล่าว ไม่ใช่แต่เพียงการพบในมนุษย์เป็นครั้งแรก แต่ยังเป็นการพบในสัตว์เลี้ยงลูกด้วยนมเป็นครั้งแรกอีกด้วย

สำหรับอาการป่วยของคนไข้หญิงรายนี้ จากพยาธิตัวกลม ได้แก่ มีอาการปวดท้อง ท้องเสีย ไข้ ไอ หายใจได้สั้นลง ไปจนถึงการหลงลืม และมีภาวะซึมเศร้า

ทั้งนี้ ผู้เชี่ยวชาญด้านพยาธิ กล่าวว่า พยาธิตัวกลม จะไม่สามารถถ่ายทอดจากคนสู่คนได้ ทำให้ไม่ต้องกังวลว่าจะนำไปสู่โรคระบาดใหม่ แต่พยาธิชนิดนี้สามารถพบได้ทั่วโลก จึงมีโอกาสที่จะเจอผู้ป่วยในลักษณะนี้อีก

ติดตามข่าวต่างประเทศได้ที่ : https://www.thairath.co.th/news/foreign

...

ที่มา : BBC, AljazeeraThe Guardian