หมอสหรัฐฯ ในชิคาโก ประสบความสำเร็จ ปลูกถ่ายปอดสองข้างให้แก่ผู้ป่วยสาวติดเชื้อโควิด-19 หลังอยู่ห้องไอซียูมานานเกือบ 2 เดือน เผยภาพปอดโดนเชื้อไวรัสมรณะทำลายจนเสียหายอย่างหนัก

เมื่อ 12 มิ.ย.63 เว็บไซต์เดลี่เมล รายงานทีมศัลยแพทย์ ที่โรงพยาบาลนอร์ธเวสเทิร์น เมมโมเรียล (Northwestern Memorial Hospital) ในนครชิคาโก รัฐอิลลินอยส์ ประเทศสหรัฐฯ ประสบความสำเร็จในการผ่าตัดปลูกถ่ายปอดสองข้างให้แก่ผู้ป่วยหญิงพูดภาษาสาเปน อายุประมาณ 20 กว่าปีรายหนึ่ง ที่ติดเชื้อไวรัสโคโรนาสายพันธุ์ใหม่ หรือ โควิด-19 จนทำให้ปอดได้รับความเสียหายอย่างหนัก จนต้องรักษาตัวอยู่ในห้องไอซียู มานานกว่า 6 สัปดาห์

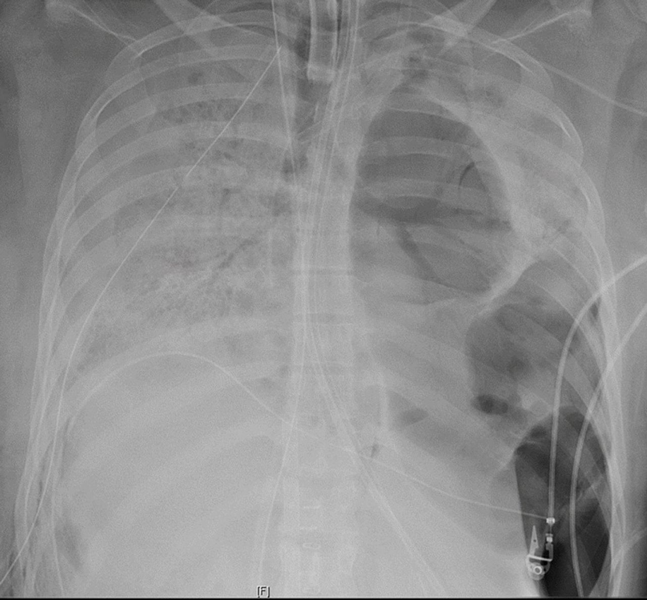
โรงพยาบาลนอร์ธเวสเทิร์น เมมโมเรียล เผยแพร่ภาพเอกซ์เรย์ปอดของผู้ป่วยรายนี้ที่ได้รับความเสียหายจากเชื้อโควิด-19
โรงพยาบาลนอร์ธเวสเทิร์น เมมโมเรียล เผยแพร่ภาพเอกซ์เรย์ปอดของผู้ป่วยรายนี้ที่ได้รับความเสียหายจากเชื้อโควิด-19

...

ทีมแพทย์เปิดเผยว่า ก่อนหน้าที่หญิงสาวคนดังกล่าวจะติดเชื้อโควิด-19 และล้มป่วยหนักนั้น เธอมีสุขภาพที่ค่อนข้างแข็งแรง ถึงแม้ต้องกินยารักษาอาการภูมิแพ้ในช่วงปีที่แล้ว แต่เมื่อเธอได้ติดเชื้อโควิด-19 เธอได้ล้มป่วยหนักจนต้องถูกนำตัวเข้าห้องไอซียู ได้รับการใช้เครื่องช่วยหายใจ เครื่อง ECMO ช่วยพยุงการทำงานของหัวใจและปอด ตั้งแต่วันแรกที่เข้าโรงพยาบาล และอยู่ในห้องไอซียูมานานเกือบ 2 เดือน ก่อนจะได้รับการผ่าตัดปลูกถ่ายปอดสองข้าง เมื่อวันศุกร์ที่ 5 มิ.ย.ที่ผ่านมา

โรงพยาบาลนอร์ธเวสเทิร์น เมมโมเรียล เผยแพร่ภาพปอดของผู้ป่วยรายนี้ที่ได้รับความเสียหายอย่างหนักจากเชื้อโควิด-19
โรงพยาบาลนอร์ธเวสเทิร์น เมมโมเรียล เผยแพร่ภาพปอดของผู้ป่วยรายนี้ที่ได้รับความเสียหายอย่างหนักจากเชื้อโควิด-19

นายแพทย์ Ankit Bharat ซึ่งเป็นแพทย์ที่ลงมือผ่าตัดปลูกถ่ายปอดสองข้างให้แก่ผู้ป่วยหญิงรายนี้ เปิดเผยเมื่อวันพุธที่ผ่านมา ว่า การผ่าตัดครั้งนี้ใช้เวลาในห้องผ่าตัดถึง 10 ชั่วโมง และเป็นการผ่าตัดที่มีความท้าทาย เพราะเชื้อโควิด-19 ได้ทำลายเนื้อปอดทั้งสองข้าง จนเต็มไปด้วยหลุมมากมาย และเกือบจะเชื่อมกับผนังหน้าอก

สำหรับผลการผ่าตัดได้สร้างความโล่งใจให้แก่ทีมแพทย์ เมื่อขณะนี้ ผู้ป่วยหญิงรายนี้ได้ฟื้นแล้ว เธอยิ้มได้ และสามารถพูดคุยผ่านเฟซไทม์ บนโทรศัพท์มือถือกับคนในครอบครัวได้แล้ว

นายแพทย์ Ankit Bharat
นายแพทย์ Ankit Bharat

...

ทั้งนี้ ก่อนหน้านี้ได้มีการผ่าตัดปลูกถ่ายปอดสองข้างให้แก่ผู้ป่วยด้วยโรคโควิด เพียงไม่กี่รายที่รอดชีวิต คือในจีนและยุโรปเท่านั้น ขณะเดียวกัน จากการพบผู้ป่วยที่อายุแค่ 20 ปีกว่า ล้มป่วยหนักด้วยโรคโควิด-19 ได้แสดงให้เห็นว่าคนอายุไม่มากก็เสี่ยงที่จะป่วยหนักด้วยโรคโควิด-19 หลังจากในตอนแรก เข้าใจกันว่าคนสูงอายุและคนที่ป่วยเรื้อรัง จะมีความเสี่ยงที่จะเกิดอาการป่วยหนักจากการติดเชื้อโควิด-19 เพราะขณะนี้ยังพบว่า คนหนุ่มสาวอยู่ในจำนวนผู้ป่วยโควิด-19 ที่อายุต่ำกว่า 55 ปี ถึงเกือบ 40% ที่ต้องรักษาตัวในโรงพยาบาล