อาการเสียวฟัน เป็นอุปสรรคที่สร้างความทุกข์ทรมานในการรับประทาน บางครั้งอาหารจานโปรดวางอยู่ตรงหน้า แต่ไม่สามารถลิ้มรสชาติได้เต็มปากเต็มคำ เพียงแค่เคี้ยวไปคำเดียวก็ต้องสะดุ้งจนหน้านิ่วคิ้วขมวดเนื่องจากอาการเสียวฟัน จนต้องหยุดเพียงแค่นั้นไม่สามารถบดเคี้ยวได้อีกต่อไป

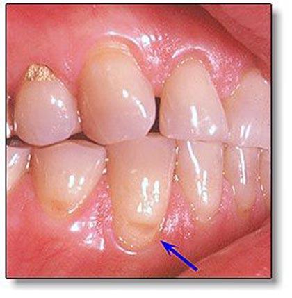
สาเหตุหนึ่งที่มักทำให้เกิดอาการเสียวฟัน คือ การสึกบริเวณคอฟัน ซึ่งเกิดจากการสูญเสียส่วนของเนื้อฟันบริเวณคอฟัน และมักทำให้เกิดอาการเสียวฟัน ซึ่งอาการจะมากหรือน้อยขึ้นกับปัจจัยหลายอย่าง เช่น สภาพฟันที่ไม่เหมือนกันในคนไข้แต่ละราย ความลึกของรอยสึก เป็นต้น

คอฟันสึกเกิดได้จากหลายสาเหตุ เช่น

1. การแปรงฟันที่ผิดวิธี และการใช้แปรงฟันที่มีขนแปรงแข็ง เป็นสาเหตุสำคัญที่ทำให้คอฟันสึกได้ คนส่วนใหญ่มักไม่ค่อยใส่ใจในวิธีการแปรงฟันที่ถูกต้อง โดยทั่วไปมักแปรงด้านหน้าฟันแบบถูไปมาแรงๆตามแนวนอน จึงเป็นการทำลายคอฟันและเหงือกโดยไม่รู้ตัว วิธีที่ถูกต้องคือ ฟันล่างให้ปัดแปรงขึ้น ฟันบนให้ปัดแปรงลง สวนทางกัน

2. ลักษณะการสบฟันที่ผิดปกติบางอย่าง

3. รับประทานอาหารที่มีความเป็นกรดสูง เช่น  อาหารที่มีรสเปรี้ยว น้ำผลไม้ หรือน้ำอัดลมบางชนิด

ลักษณะคอฟันสึกที่ควรรับการรักษา

1. มีอาการเสียวฟัน ขณะรับประทานอาหารเย็น หวาน หรือขณะแปรงฟัน

...

2. ขาดความสวยงาม เนื่องจากสีและรูปร่างฟันผิดไปจากปกติ

3. รอยสึกของฟันค่อนข้างลึก

4. มักมีเศษอาหารติดบริเวณรอยสึกเป็นประจำ

การรักษาคอฟันสึก  (โดยเฉพาะเมื่อมีอาการเสียวฟันร่วมด้วย )

รอยสึกขนาดเล็กและตื้น ที่มีอาการเสียวฟันร่วมด้วย ทันตแพทย์มักรักษาอาการเสียวฟันโดยทาสารช่วยลดอาการเสียวฟัน ร่วมกับแนะนำให้ใช้ยาสีฟันช่วยลดอาการเสียวฟัน

สำหรับรอยสึกที่มีขนาดลึก ทันตแพทย์จะใช้วัสดุสีเหมือนฟันเช่น เรซิน คอมโพสิต หรือกลาสไอโอโนเมอร์ อุดปิดบริเวณรอยสึก อาการเสียวฟันมักหายทันทีหลังการอุดฟัน

อายุการใช้งานของวัสดุอุด ขึ้นอยู่กับลักษณะการใช้งาน การรักษาสุขภาพช่องปากให้ดี เช่น การแปรงฟันอย่างถูกวิธี ร่วมกับการใช้ไหมขัดฟันทำความสะอาดบริเวณซอกฟัน การตรวจสุขภาพฟันทุก 6 เดือน จะช่วยยืดอายุการใช้งานของวัสดุอุดฟันให้นานขึ้นได้

การป้องกันคอฟันสึก

เลือกใช้แปรงที่มีขนแปรงอ่อนนุ่ม และแปรงฟันให้ถูกวิธี

หลีกเลี่ยงอาหารที่ทำให้เกิดการสึกของฟัน (อาหารที่มีความเป็นกรดสูง) ถ้าไม่สามารถหลีกเลี่ยงได้ ควรดื่มน้ำหลังจากรับประทานอาหารดังกล่าว เพื่อลดความเป็นกรดในช่องปาก และไม่ควรแปรงฟันทันที เนื่องจากผิวฟันจะมีสภาพอ่อนนุ่มเป็นผลให้ฟันมีการสึกมากขึ้น

หมั่นดูแลสุขภาพปากและฟันเป็นประจำ เมื่อเกิดอาการผิดปกติอย่ารีรอที่จะพบทันตแพทย์เพื่อตรวจวินิจฉัยหาสาเหตุที่ถูกต้องและรักษาต่อไป เพื่อการเป็นเจ้าของรอยยิ้มที่สดใส และฟันที่แข็งแรงสำหรับบดเคี้ยวอาหารจานโปรดอย่างมีความสุขไปนานๆ...