มีคนไข้จำนวนไม่น้อยที่มาปรึกษาทันตแพทย์ เรื่องอาการเสียวฟัน เมื่อได้รับการตรวจวินิจฉัยแล้วพบว่า ไม่มีฟันผุ ไม่มีคอฟันสึก แต่มีเหงือกร่นหรือแม้แต่มาปรึกษาเรื่องความสวยงามในกรณีที่เกิดมีเหงือกร่น ดังนั้นเราลองมาดูกันว่าจะมีทางแก้ไขภาวะดังกล่าวได้หรือไม่...

ภาวะเหงือกร่น เป็นภาวะที่ขอบเหงือกมีการเคลื่อนที่ลงมาทางปลายรากฟัน จากรอยต่อเคลือบฟันกับเคลือบรากฟัน  ซึ่งการเกิดภาวะเหงือกร่นส่วนใหญ่ มักสัมพันธ์กับโรคปริทันต์อักเสบ หรือการแปรงฟันที่ผิดวิธี แต่บางครั้งอาจเกิดจากสาเหตุของการเคลื่อนของฟันในการจัดฟัน ซึ่งมักเกิดร่วมกับสาเหตุอื่น ได้แก่ ลักษณะความป่องนูนของตัวฟัน การเรียงตัวที่ผิดปกติของฟันในขากรรไกร ความผิดปกติของกระดูกเบ้าฟัน การมีเนื้อเยื่อริมฝีปากเกาะใกล้ขอบเหงือก และการมีลักษณะของเหงือกที่บาง

การเกิดเหงือกร่นนั้นพบได้ในทุกกลุ่มอายุ ซึ่งมีรายงานว่าพบในผู้ป่วยที่อายุตั้งแต่ 30 ปีขึ้นไป ร้อยละ 58 และพบบ่อยในฟันกรามน้อยและฟันกราม ส่วนในช่วงอายุ 18-29 ปี พบว่าเกิดมากในตำแหน่งฟันตัดและฟันเขี้ยวบน

การตัดสินใจในการแก้ไขภาวะเหงือกร่น
•    มีอาการเสียวฟันจากการมีรอยโรคเหงือกร่น
•    การมีรอยโรคเหงือกร่น  ร่วมกับการมีคอฟันสึก  หรือมีฟันผุบริเวณคอฟัน  ที่ทำให้มีอาการเสียวฟัน
•    มีรอยโรคเหงือกร่นจนขาดความสวยงาม

ในปัจจุบันสามารถทำการแก้ไขภาวะเหงือกร่นได้ โดยวิธีศัลยกรรมเหงือกและเยื่อเมือก ซึ่งได้แก่
•    การปลูกถ่ายเหงือก  โดยส่วนมากวิธีนี้เป็นการนำเอาเนื้อเยื่อจากบริเวณเพดานปาก มาปลูกถ่ายบริเวณที่มี
ภาวะเหงือกร่น
•    การเคลื่อนย้ายแผ่นเหงือก  มักเป็นการเลื่อนแผ่นเหงือกจากบริเวณข้างเคียงมาปิดรอยเหงือกร่น
•    การเคลื่อนย้ายแผ่นเหงือกร่วมกับการปลูกถ่ายเหงือก
•    การเหนี่ยวนำให้เกิดการงอกใหม่ (ของเหงือก)


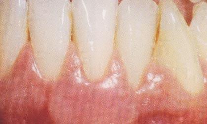
**************************ก่อนการรักษา

...


****************************หลังการรักษา

การตัดสินใจว่าจะใช้วิธีใดในการรักษา หรือแม้แต่ความสำเร็จในการรักษานั้น จะทำได้หรือไม่ขึ้นกับสาเหตุของโรค ความรุนแรงของภาวะเหงือกร่น และปัจจัยของเนื้อเยื่อ กระดูก และฟัน รวมถึงปัจจัยจากตัวผู้ป่วยเอง ซึ่งควรได้รับการวินิจฉัยจากทันตแพทย์ เพื่อประเมินภาวะดังกล่าว

ทั้งนี้การดูแลรักษาความสะอาดในช่องปากให้ดีอยู่เสมอ เพื่อไม่ให้เกิดโรคปริทันต์อักเสบ และการแปรงฟันที่ถูกวิธี จะเป็นการป้องกันภาวะเหงือกร่นได้ดีที่สุด

ศูนย์ทันตกรรมเดนทัลลิส โรงพยาบาลเวชธานี
www.vejthani.com