ฟันร้าว เป็นลักษณะฟันที่เกิดรอยแยก มักพบบริเวณด้านบดเคี้ยวของฟัน จะทำให้มีอาการปวดฟันโดยที่ผู้ป่วยไม่สามารถบอกได้ชัดว่าเป็นซี่ใด มักจะมีอาการปวดหรือเสียวเมื่อถูกความร้อน ความเย็น หรือเมื่อเคี้ยว

ฟันร้าว ส่วนใหญ่พบในผู้สูงอายุ โดยการเกิดรอยร้าวมักจะเกิดขึ้นอย่างค่อยเป็นค่อยไป อาจใช้เวลานาน 12 - 18 เดือน ก่อนที่ฟันร้าวจะแตกอย่างสมบูรณ์


สาเหตุของฟันร้าว

ฟันร้าวเกิดจากสาเหตุหลายประการ ที่พบได้บ่อยๆ คือ

การเคี้ยวของแข็ง โดยเฉพาะผู้สูงอายุ ซึ่งจะมีความยืดหยุ่นของเนื้อฟัน และอวัยวะรอบรากฟันลดลง หมายความว่าฟันจะกรอบมากขึ้น เมื่อมีแรงกัดมากเกินปกติจะทำให้เกิดฟันร้าว หรือแตกได้

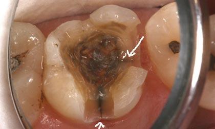
ฟันผุ ฟันผุที่เป็นรูขนาดใหญ่ หรือฟันที่มีรอยอุดขนาดใหญ่ จะทำให้ฟันซี่นั้นไม่แข็งแรงนัก จึงมีโอกาสเสี่ยงต่อการเกิดฟันร้าวได้

แรงกระแทก จากอุบัติเหตุ หรือจากการเล่นกีฬา

การนอนกัดฟัน หรือชอบกัดขบฟันเป็นระยะเวลานานๆ จะพบว่าเกิดฟันร้าวได้ง่าย

ฟันที่มีปุ่มฟันสูงชัน และมีร่องลึก พบได้มากในฟันกรามน้อย มักจะพบรอยร้าวในแนวดิ่งได้ง่าย

การตรวจวินิจฉัย

การตรวจในระยะเริ่มแรกทำได้ยาก ผู้ป่วยมักจะเกิดอาการเสียวฟัน หรือปวดฟันเพียงเล็กน้อยเมื่อเคี้ยวอาหาร การตรวจในกรณีที่เกิดฟันร้าว ต้องอาศัยการสังเกตและการตรวจฟันอย่างละเอียดของทันตแพทย์ โดยมีวิธีตรวจที่อาจใช้ร่วมกับเครื่องมือช่วยตรวจอื่นๆ ได้แก่

การย้อมสีฟัน (Staining) ซึ่งบางครั้งทันตแพทย์ อาจใช้แสงจากเครื่องฉายแสงอุดฟันร่วมกับการย้อมสี เพื่อให้เห็นชัดเจนยิ่งขึ้น

การทดสอบโดยให้ผู้ป่วยกัดไม้เนื้อนิ่มแผ่นบางๆ หรือแผ่นยาง หรือก้อนสำลีบนฟันซี่ที่สงสัย ผู้ป่วยจะเกิดอาการปวดแปลบทันทีที่อ้าปากขึ้น

การถ่ายภาพรังสีเอกซเรย์ อาจบอกได้ไม่ชัดเจน เนื่องจากรอยร้าวมักจะแคบและภาพมักจะมีเงาของฟันซ้อนทับอยู่ แต่จะใช้บอกได้ว่า มีการติดเชื้อคุกคามไปที่ปลายรากฟันหรือไม่ ซึ่งอาจจะพบเป็นเงาดำรอยรากฟันซี่นั้นๆ ได้

...


การรักษาฟันร้าว

การรักษาฟันร้าวจะขึ้นกับระดับความลึกของรอยร้าว ถ้าพบอาการเริ่มแรกควรทำการรักษาด้วยการทำครอบฟันชั่วคราวทันที หลังจากนั้นพักดูอาการประมาณ 2-4 สัปดาห์ ถ้าไม่มีอาการ ก็สามารถทำการบูรณะด้วยครอบฟันถาวรทั้งซี่

แต่ถ้ามีอาการผิดปกติ ซึ่งแสดงว่า รอยร้าวได้ลุกลามไปถึงโพรงประสาทฟันแล้ว จำเป็นต้องทำการรักษารากฟัน ก่อนที่จะทำครอบฟัน ถ้าฟันซี่นั้นเกิดรอยร้าว เป็นเวลานานจนแตกแยกจากกันในแนวดิ่ง จะไม่สามารถเก็บรักษาไว้ได้ จำเป็นต้องถอนออกไป

ฟันร้าว ถึงได้ชื่อว่าเป็นภัยเงียบในช่องปาก ที่เป็นสาเหตุทำให้ต้องเสียฟันโดยไม่รู้ตัว ดังนั้น เมื่อมีอาการเสียวฟัน ที่ผิดปกติ จึงไม่ควรละเลย เพราะการตรวจพบในระยะแรกๆ จะทำให้เราสามารถเก็บรักษาฟันซี่นั้นไว้ได้