“มะเร็งตับ” ฟังผิวเผินอาจเป็นโรคที่ดูไกลตัว แต่ในช่วง 5 - 6 ปีมานี้ สังเกตไหมว่าเราต้องสูญเสียบุคคลที่สำคัญไปด้วยโรคนี้ ไม่ว่าจะเป็นในปี 2549 ดีเจ โจ้ ดีเจชื่อดังจากค่ายเอไทม์ เสียชีวิตด้วยโรคมะเร็งตับด้วยวัยเพียง 35 ปี หลังต่อสู้กับโรคร้ายนี้มานานกว่า 3 เดือน และในปี 2551 ยอดรัก สลักใจ ขุนพลเพลงลูกทุ่งไทย ก็ลาโลกไปด้วยโรคมะเร็งตับอีกเช่นกัน เพราะฉะนั้นไม่จำเป็นว่าจะต้องอยู่ในวัยไม้ใกล้ฝั่งเท่านั้น ถึงจะมีโอกาสเสี่ยงเผชิญกับโรคนี้ คนอายุน้อยที่อยู่ในวัยทำงาน ก็มีความเสี่ยงด้วยเช่นกัน

นายแพทย์สุขประเสริฐ จุฑากอเกียรติ อายุแพทย์โรคระบบทางเดินอาหารและตับ โรงพยาบาลเวชธานี เผยว่า โรคมะเร็งตับ (Hepatocellular carcinoma) เป็นมะเร็งที่พบได้บ่อยที่สุดของมะเร็งที่เกิดขึ้นที่ตับ (มะเร็งชนิดอื่นของตับ เช่น มะเร็งท่อน้ำดี มะเร็งแพร่กระจายมาที่ตับ) สถิติของสถาบันมะเร็งแห่งชาติพบว่ามะเร็งตับเป็นมะเร็งที่พบได้บ่อยเป็นอันดับต้นๆ ในประเทศไทย จากข้อมูลล่าสุดของผู้ป่วยโรคมะเร็งในประเทศไทยปี 2553 พบว่ามะเร็งตับเป็นมะเร็งที่พบได้บ่อยเป็นอันดับ 3 ในผู้ชาย และเป็นอันดับที่ 7 ในผู้หญิง และผู้ป่วยที่เป็นมะเร็งตับนี้เมื่อตรวจพบก็มักจะเสียชีวิตใน 3 ถึง 6 เดือน หากไม่ได้รับการรักษา

โดยทั่วไปมักตรวจพบมะเร็งตับครั้งแรกในผู้ป่วยอายุมากกว่า 50 ปี แต่ในประเทศไทยมีผู้ป่วยมะเร็งตับที่ตรวจพบตั้งแต่อายุ 30-35 ปีได้อยู่เสมอ เนื่องจากในประเทศไทยเป็นประเทศที่มีความชุกของผู้ป่วยติดเชื้อไวรัสตับอักเสบบีสูง ซึ่งการติดเชื้อไวรัสตับอักเสบบีเป็นปัจจัยเสี่ยงที่สำคัญของโรคมะเร็งตับ มีความเสี่ยงต่อการเกิดมะเร็งตับมากกว่าคนปกติ 100-200 เท่า

...

ใครบ้างที่มีปัจจัยเสี่ยงต่อการเป็นโรคมะเร็งตับ

ผู้ที่ติดเชื้อไวรัสตับอักเสบบี ทั้งกรณีเป็นพาหะไวรัสตับอักเสบบี มีภาวะตับอักเสบเรื้อรัง หรือตับแข็ง

ผู้ป่วยโรคตับแข็งจากสาเหตุอื่นทุกชนิด เช่น ผู้ป่วยที่ติดเชื้อไวรัสตับอักเสบซี ผู้ป่วยตับแข็งจากการดื่มแอลกอฮอล์ ผู้ป่วยตับแข็งจากไขมันพอกตับ เป็นต้น

สารอะฟลาทอกซิน (Aflatoxin) ซึ่งพบปนเปื้อนอยู่ในถั่วลิสง ข้าวโพด พริกแห้ง กระเทียม เต้าเจี้ยว เต้าหู้ยี้ ก็เป็นสารก่อมะเร็ง ที่เป็นสาเหตุอีกประการหนึ่งที่ทำให้เกิดมะเร็งตับ

อาการและอาการแสดงของโรคมะเร็งตับ


ผู้ป่วยมะเร็งตับระยะแรกมักไม่มีอาการ หรือมีอาการไม่เฉพาะเจาะจง แพทย์มักวินิจฉัยได้จากการตรวจคัดกรองในผู้ที่มีปัจจัยเสี่ยง เช่น การทำอัลตราซาวด์ หรือเอกซเรย์คอมพิวเตอร์พบก้อนมะเร็ง โดยส่วนใหญ่ถ้าผู้ป่วยมีอาการแล้ว โรคมะเร็งตับมักจะเป็นมากและลุกลาม อาการแสดงต่างๆ จะคล้ายกับผู้ป่วยที่เป็นโรคตับแข็ง เช่น ปวดท้อง เสียดท้อง น้ำหนักลด ตัวเหลือง ตาเหลือง ท้องบวมเนื่องจากมีน้ำในช่องท้อง ขาบวม อ่อนเพลีย ทานอาหารไม่ได้ อาเจียนเป็นเลือด

นายแพทย์สุขประเสริฐ กล่าวว่า ในประเทศไทยผู้ป่วยส่วนใหญ่ มักจะมาพบแพทย์ในระยะที่โรคมีการลุกลามมากแล้ว ไม่สามารถรักษาโรคมะเร็งตับให้หายขาดได้ สาเหตุส่วนหนึ่งเพราะผู้ป่วยมักไม่ทราบถึงปัจจัยเสี่ยงของโรคมะเร็งตับ จึงไม่มีการตรวจคัดกรองเพื่อสามารถตรวจพบโรคมะเร็งตับได้ในระยะเริ่มต้น ปัจจุบันผู้ป่วยโรคมะเร็งตับสามารถรักษาให้หายขาดได้ หากมีการตรวจพบตั้งแต่ระยะแรกของโรค

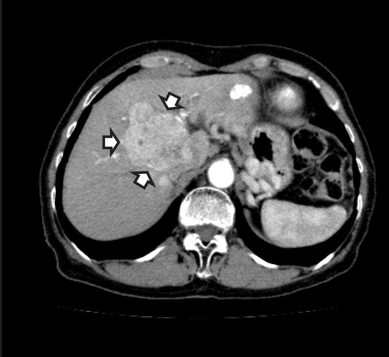
การตรวจหามะเร็งตับทำได้อย่างไร

เนื่องจากมะเร็งตับเปรียบเหมือนมฤตยูเงียบ การเฝ้าระวังอย่างสม่ำเสมอจึงเป็นวิธีที่ดีที่สุด โดยเฉพาะในผู้ที่มีปัจจัยเสี่ยงต่อการเกิดมะเร็งตับ คือ ผู้ที่เป็นพาหะไวรัสตับอักเสบบีที่มีอายุเกิน 40 ปีขึ้นไปในผู้ชาย และอายุเกิน 50 ปีในผู้หญิง ผู้ป่วยที่มีภาวะตับแข็งจากทุกสาเหตุ ควรจะต้องตรวจอัลตราซาวด์ดูเนื้อตับอย่างน้อยทุก 6-12 เดือน

วิธีการรักษาโรคมะเร็งตับ

มีวิธีการรักษาต่างๆ ได้แก่ ใช้การผ่าตัดเอาก้อนเนื้อร้ายออก การฉีดยาเคมีบำบัด  การฉีดแอลกอฮอล์ไปที่ก้อนมะเร็ง การใช้คลื่นเสียง RFA (Radiofrequency Ablation) ปลูกถ่ายตับให้แก่ผู้ป่วย ซึ่งการพิจารณาวิธีการรักษาสำหรับผู้ป่วยแต่ละรายขึ้นกับหลายปัจจัย เช่น ขนาดก้อนมะเร็ง สมรรถภาพการทำงานของตับ และความแข็งแรงของผู้ป่วย ซึ่งแพทย์จะมีการพิจารณาวิธีการรักษาที่เหมาะสมที่สุดสำหรับผู้ป่วยแต่ละราย

วิธีการป้องกันการเป็นมะเร็งตับ

ปัจจุบัน การป้องกันไม่ให้กลายเป็นมะเร็งตับ เป็นการรักษาที่ดีที่สุด  ซึ่งวิธีการรักษาในผู้ป่วยที่มีปัจจัยเสี่ยงมีดังนี้

ผู้ป่วยที่ติดเชื้อไวรัสตับอักเสบบี ให้การรักษาด้วยยาฉีดหรือยารับประทาน

ผู้ป่วยที่ติดเชื้อไวรัสตับอักเสบซี ให้การรักษาด้วยยาฉีดและยารับประทาน

ผู้ป่วยตับแข็งจากแอลกอฮอล์ ให้งดแอลกอฮอล์อย่างเด็ดขาด

ผู้ป่วยโรคตับแข็งจากสาเหตุอื่น ให้การรักษาตามสาเหตุ

หลีกเลี่ยงอาหารที่ปนเปื้อนสารอะฟลาท๊อกซิน เช่น ถั่วลิสง โดยเฉพาะถั่วลิสงป่นที่ค้างนานๆ ข้าวโพด พริกแห้ง กระเทียม เต้าเจี้ยว และเต้าหู้ยี้

กล่าวโดยสรุป มะเร็งตับเป็นภัยเงียบที่พบได้บ่อยในประเทศไทย หากท่านหรือบุคคลใกล้ชิดเป็นผู้หนึ่งซึ่งมีปัจจัยเสี่ยงต่อการเป็นมะเร็งตับ หรือยังไม่ทราบว่าตนเองมีปัจจัยเสี่ยงต่อการเป็นโรคมะเร็งตับหรือไม่ โดยเฉพาะอย่างยิ่งภาวะการติดเชื้อไวรัสตับอักเสบบี ท่านควรปรึกษาและขอคำแนะนำจากแพทย์ เพื่อให้ห่างไกลจากภัยร้าย “มะเร็งตับ” ตลอดไป


ศูนย์โรคระบบทางเดินอาหารและตับ โรงพยาบาลเวชธานี