สำหรับผู้คนในสังคมทุกวันนี้ หลายๆ คนอาจหลงลืม โรคสะเก็ดเงิน หรือที่เรียกว่า โรคเรื้อนกวาง กันไปแล้ว  ทั้งๆ ที่อุบัติการณ์ของโรคนี้ ส่งผลกระทบต่อจิตใจของผู้ป่วยและผู้คนในสังคมรอบข้างโดยตรง เรียกได้ว่าหากใครที่เป็นโรคนี้แล้ว สังคมอาจรังเกียจไม่อยากเข้าใกล้ ทั้งๆ ที่ไม่ใช่เป็นโรคติดต่อ แต่เป็นโรคที่ถ่ายทอดทางพันธุกรรมได้  และเชื่อหรือไม่ว่าในประเทศไทย มีผู้ป่วยโรคนี้เทียบต่อประชากรจำนวน 100  คนจะมีผู้ป่วยเป็นโรคนี้ถึง 2 คน หรือเท่ากับคนไทยมีผู้ป่วยเป็นโรคนี้ประมาณ 1 ล้านคนเลยทีเดียว

โรคสะเก็ดเงิน เป็นโรคของการเรียนรู้และผู้ป่วยควรจะต้องได้รับความรู้เกี่ยวกับโรคนี้อย่างยิ่ง โดยผู้ป่วยส่วนใหญ่จะเริ่มปรากฏอาการผื่นขึ้น ใน 2 ช่วงอายุ ที่เริ่มเป็นคือ อายุประมาณ 22 ปี และ 55 ปี ในวัยผู้ใหญ่พบที่ช่วงอายุ 27-60 ปี ทั้งในเพศชายและเพศหญิง ส่วนในเด็กอายุเฉลี่ยที่พบ คือ 8 ปี และไม่น้อยกว่า 15 ปี


สำหรับความผิดปกติที่เกิดขึ้นผู้ป่วยจะเริ่มรู้สึกว่า  มีผื่นหรือรอยแดงอยู่บนร่างกายของเขา ตามหนังศีรษะ ใบหน้า แขน นิ้ว มือ หลัง และบริเวณฝ่าเท้า จะทำให้ผู้ป่วยเริ่มวิตกจริต ไม่อยากที่จะเปิดเผยตัวเอง มีผลต่อจิตใจและอาชีพ หน้าที่การงาน ที่สำคัญผู้ป่วยโรคนี้ที่เป็นผู้ใหญ่ จะไม่แสดงอาการใดๆ ปรากฏในวัยเด็กหรือวัยรุ่นเลย โรคสะเก็ดเงินนี้ถือเป็นโรคที่เกี่ยวกับการทำงานที่ผิดปกติของระบบภูมิคุ้มกัน ซึ่งส่งผลอย่างมากต่อผิวหนังของผู้ป่วย โดยสิ่งที่เกิดขึ้นก็คือระบบภูมิคุ้มกันนั้น สร้างเซลล์ผิวหนังเร็วเกินไป ซึ่งเป็นสิ่งที่ทำให้ผิวหนังต้องถูกแทนที่วันเว้นวันเลยทีเดียว เมื่อมันเร็วกว่าปกติมาก ก็ส่งผลทำให้ผิวหนังเป็นเกล็ดหรือมีจุดสีแดงๆ ซึ่งจะทำให้เกิดอาการคัน และหงุดหงิดเป็นอย่างมาก ผู้ป่วยโรคสะเก็ดเงินนั้น จะต้องจัดการกับความหงุดหงิดและความคันที่เกิดขึ้นบ่อยๆ ซึ่งเป็นภาระทางใจและก่อให้เกิดความเสียหายต่างๆ ตามมามากมาย

...


โรคสะเก็ดเงินนั้นมีรากฐานมาจากพันธุกรรมและเป็นโรคที่เกิดตามกรรมพันธุ์ ซึ่งนั่นก็หมายความว่าคนไข้นั้น  จำเป็นที่จะต้องรู้ว่าใครในครอบครัวของเขาที่เป็นโรคนี้มาก่อน ในทางกลับกันมันมีการส่งต่อผ่านสายโลหิต เมื่อคนไข้นั้นรู้ว่าตนเองเป็นโรคสะเก็ดเงินแล้ว เขามักจะได้รับกำลังใจในการใช้ชีวิตให้เป็นปกติและเข้าหาแนวทางใหม่ของชีวิต ซึ่งหมายถึงการทำความเข้าใจในโรค การใส่ใจกับการออกแดดในปริมาณมากเกินไป การเริ่มกินอาหารที่มีประโยชน์และหลีกเลี่ยงอาหารบางชนิดเพื่อที่จะลดความเสี่ยงของโรคให้เป็นอันตรายน้อยลง และที่สำคัญควรเข้ารับการตรวจวินิจฉัยและรักษาจากแพทย์อย่างสม่ำเสมอ ผู้ป่วยโรคสะเก็ดเงินส่วนใหญ่นั้น ต้องการความช่วยเหลือเพิ่มเติม ส่วนใหญ่แล้วเขาต้องการยา โรคสะเก็ดเงินเป็นโรคผิวหนังอักเสบเรื้อรังที่พบบ่อยชนิดหนึ่งมีชื่อภาษาอังกฤษว่า “Psoriasis”

โรคนี้เกิดจากเหตุปัจจัยหลายปัจจัยประกอบกัน ไม่ได้เกิดจากสาเหตุใดสาเหตุหนึ่งเพียงสาเหตุเดียว ไม่ได้เกิดจากเชื้อโรค สารเคมีหรือสภาวะทางฟิสิกส์ที่เป็นพิษต่อผิวหนังโดยตรงแต่เพียงอย่างเดียว แต่เป็นผลจากพันธุกรรมหรือยีนที่ผิดปกติหลายชนิด ร่วมกับปัจจัยทางสิ่งแวดล้อมทั้งภายในและภายนอกร่างกายที่ไม่เหมาะสม มากระตุ้นให้โรคปรากฏขึ้น อาการผื่นผิวหนังเป็นได้หลายรูปแบบ ที่พบบ่อย คือ ผิวหนังอักเสบเป็นปื้นแดง (Erythematous plaque) ลอกเป็นขุย เป็นๆ หายๆ ผู้ป่วยบางรายเป็นเฉียบพลันแล้วผื่นก็หายไป บางรายเป็นผื่นผิวหนังอักเสบเรื้อรัง ความผิดปกติอื่นๆ ที่อาจพบได้ คือ ความผิดปกติที่เล็บ ข้ออักเสบ เป็นต้น ผู้ป่วยอาจมีอาการผิดปกติของเล็บหรือปวดข้อนำมาก่อน หรือเกิดขึ้นพร้อมๆ กับอาการผื่นผิวหนังอักเสบ


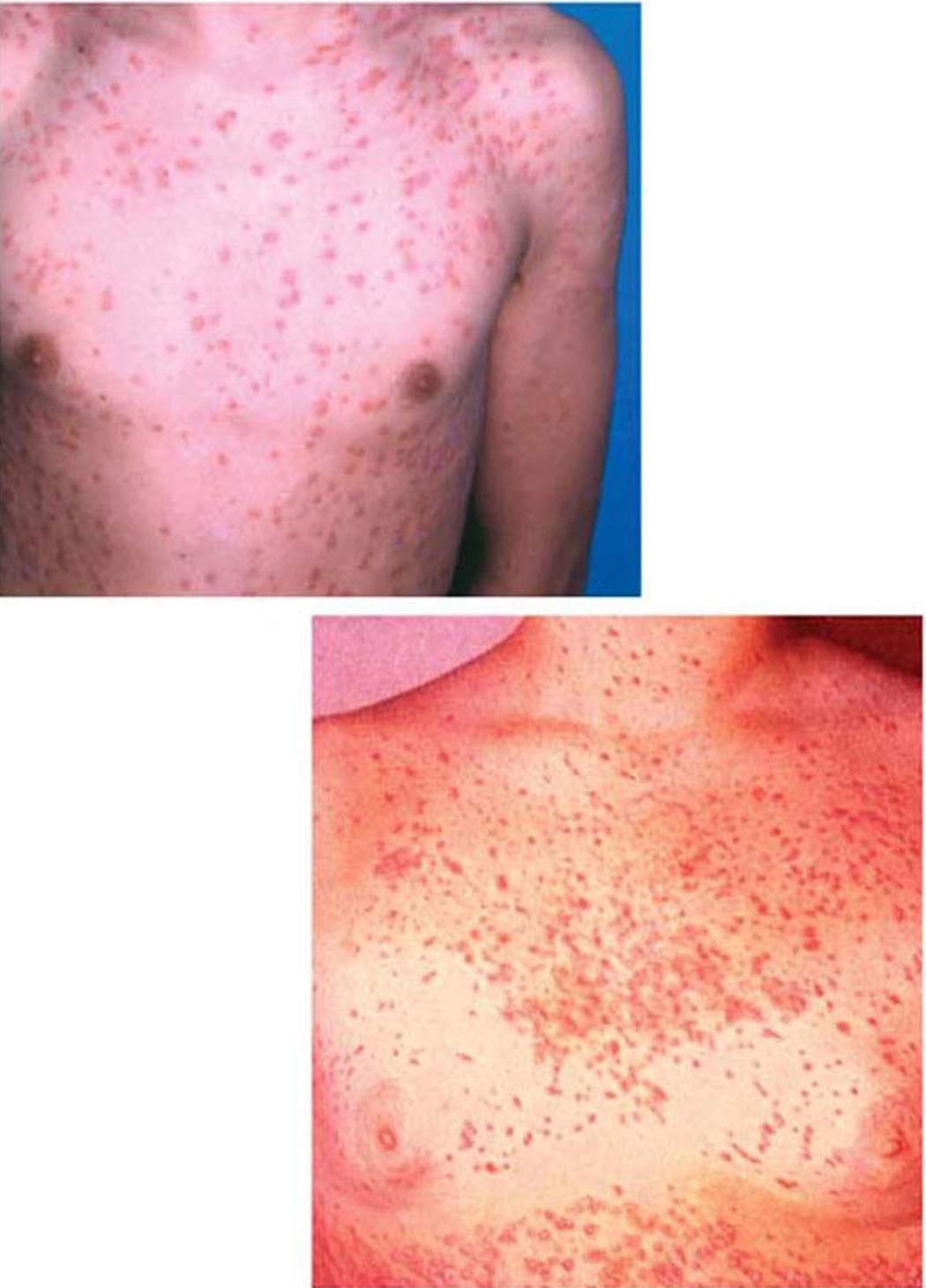
ผื่นสะเก็ดเงินที่พบ จะมีลักษณะเป็นตุ่มหรือปื้นสีแดงจัด ขอบเขตผื่นชัดเจน มีขุยหรือสะเก็ดเงินปกคลุม ขุยผื่นมีลักษณะเหมือนแผ่นกระจกแตกร้าว ขุยสีขาวคล้ายเงิน (silvery-white scales) ปิดบนรอยผื่นสีแดงและเมื่อลอกขุยออกจะมีจุดเลือดออก (Auspitz sign)   ผื่นบางชนิดมีหลายรูปแบบ อาจเป็นตุ่มกลมขนาดเล็กเท่าหยดน้ำ หรือผื่นกลมเท่าขนาดเหรียญหรือปื้นขนาดใหญ่กว่าฝ่ามือ ขอบปื้นอาจหยักโค้ง บางรายเป็นปื้นขนาดใหญ่จากแผ่นหลังจดตะโพก หรือบางรายผื่นเป็นทั่วตัวจนไม่เหลือผิวหนังปกติ ส่วนลักษณะการกระจายของผื่นที่พบบ่อยมี 2 แบบ  แบบแรก เป็นผื่นนูนขนาดหยดน้ำหรือเหรียญ กระจายทั่วตัว (guttate psoriasis) มักเกิดในระยะเวลาสั้นๆ พบบ่อยในเด็กหลังทุเลาจากการติดเชื้อในระบบทางเดินหายใจ ผื่นชนิดนี้จะค่อยๆ จางหายได้เอง หากได้รับการรักษาการติดเชื้อให้หายไป แต่มีโอกาสกลับเป็นซ้ำอีก ส่วนแบบที่สอง เป็นผื่นเรื้อรังเฉพาะที่ (psoriasis vulgaris หรือ plague type psoriasis) บริเวณซึ่งมีการเสียดสี เช่น ข้อศอก ข้อเข่า หลัง ตะโพก หนังศีรษะ เป็นผื่นขนาดใหญ่ ผื่นจะขยายค่อยเป็นค่อยไป และอาจหายได้เองแต่ช้าอาจต้องได้รับการรักษาที่เหมาะสม ผื่นสะเก็ดเงินเมื่อหายจะไม่เหลือรอย ในบางรายเมื่อผื่นหายจะเป็นรอยดำ และค่อยปรับเป็นผิวปกติภายหลัง ร้อยละ 80 ของผู้ป่วยผื่นสะเก็ดเงินเป็นผื่นแบบเรื้อรังเฉพาะที่ ผื่นสะเก็ดเงินอาจมีหลายแบบ เช่น ผื่นในซอกพับ (psoriasis inversus) ผื่นสะเก็ดเงินแบบตุ่มหนอง (pustular psoriasis) ผื่นสะเก็ดเงินทั่วตัว (psoriasis erythroderma) ฯลฯ

นอกจากนี้ โรคสะเก็ดเงินยังมีลักษณะแทรกซ้อน ซึ่งพบว่าโรคนี้มีการอักเสบของข้อ ทำให้มีผลต่อคุณภาพชีวิตของผู้ป่วย โดยเฉพาะโรคที่เกี่ยวกับระบบเมตะบอลิซึม อาทิ โรคความดันโลหิตสูง ระดับน้ำตาลในเลือดสูง ส่งผลกระทบอาจเป็นโรคเบาหวานหรือโรคหลอดเลือดหัวใจตีบตัน

...


ในปัจจุบันมีคณะแพทยผิวหนังจากสถาบันและโรงพยาบาลต่างๆ หลายแห่งทั่วประเทศ อาทิ สถาบันโรคผิวหนัง  กรมการแพทย์ กระทรวงสาธารณสุข , คณะแพทยศาสตร์ ศิริราชพยาบาล , คณะแพทยศาสตร์ โรงพยาบาลรามาธิบดี , คณะแพทยศาสตร์ โรงพยาบาลจุฬาลงกรณ์ , คณะแพทยศาสตร์ โรงพยาบาลพระมงกุฎเกล้า , คณะแพทยศาสตร์ มหาวิทยาลัยเชียงใหม่ , คณะแพทยศาสตร์ มหาวิทยาลัยสงขลานครินทร์ ,โรงพยาบาลศูนย์และโรงพยาบาลทั่วไปทั่วภูมิภาค ฯลฯ ได้เล็งเห็นถึงความสำคัญดังกล่าว โดยสมาคมแพทย์ผิวหนังแห่งประเทศไทยเห็นว่า โรคนี้ควรมีการเผยแพร่ในวงกว้าง เพื่อให้บุคคลทั่วไป ญาติคนไข้ได้รับรู้ลักษณะ ภาวะของโรค โดยเฉพาะอย่างยิ่งการตระหนักรู้ว่า สะเก็ดเงินไม่ติดต่อ ซึ่งแนวทางในการรักษา ทางเลือกต่างๆ ทางสมาคมแพทย์ผิวหนังแห่งประเทศไทยโดยการสนับสนุนของลีโอฟาร์มา จะได้มีการประชาสัมพันธ์ในลำดับต่อๆ ไป เพื่อให้เกิดการดูแลรักษาผู้ป่วยโรคสะเก็ดเงินแบบองค์รวม  ซึ่งหากว่าแพทย์วินิจฉัยว่าคุณเป็นโรคสะเก็ดเงิน จะเกิดคำถามข้อข้องใจหลายอย่างเช่น โรคอะไรชื่อแปลก โรคจะลุกลามไปทั้งตัวหรือไม่  ทำอย่างไรจะหาย  เป็นโรคติดต่อหรือเปล่า และเมื่อได้รับคำชี้แจงว่าโรคไม่หาย ก็เกิดปัญหาทางใจซ้ำเติม มีความวิตกกังวล ซึมเศร้าแยกตัวจากสังคม   เพราะเกรงว่าจะเป็นที่รังเกียจ ดังนั้น ถ้าผู้ป่วยเข้าใจเรื่องโรคนี้ดีขึ้น ก็จะช่วยให้สามารถปรับตัวอยู่กับโรคสะเก็ดเงินได้อย่างมีความสุข มีคุณภาพ มีสุขภาพผิวที่ดีขึ้น


ข้อมูล : รศ.นพ.นภดล นพคุณ อดีตนายกสมาคมแพทย์ผิวหนังแห่งประเทศไทยและหัวหน้าสาขาตจวิทยา คณะแพทยศาสตร์ จุฬาลงกรณ์มหาวิทยาลัย

...