เปิดเทอมได้ไม่นาน ก็ดูเหมือนว่าเด็กๆ ต้องเผชิญกับหลายโรคที่กำลังคุกคาม ผู้ปกครองไม่ควรมองข้าม ไม่ว่าจะเป็น ไข้หวัดใหญ่ ไข้เลือดออก อีสุกอีใส ไอพีดี โรคท้องเสีย รวมถึงโรคมือเท้าปาก ซึ่งฉบับนี้จะโฟกัสกันที่โรคมือเท้าปาก เพราะช่วงนี้มีผู้ป่วยตัวเล็กมาหาคุณหมอด้วยโรคนี้ไม่น้อยเลย

พญ.มณินทร วรรณรัตน์ กุมารแพทย์โรคระบบทางเดินหายใจ โรงพยาบาลเวชธานี เปิดเผยว่า โรคมือเท้าปาก เกิดจากเชื้อไวรัสซึ่งอยู่ในกลุ่มเอนเทอโรไวรัส ได้แก่ คอกซากี่ไวรัส ( Coxsackie virus) บางชนิด และเอนเทอโรไวรัส 71 (Enterovirus 71) พบได้บ่อยในกลุ่มเด็กทารกและเด็กเล็กอายุต่ำกว่า 5 ปี ความจริงโรคนี้จะเกิดประปรายตลอดปี แต่จะเพิ่มมากขึ้นในหน้าฝน ซึ่งอากาศมักเย็นและชื้น และมีความรุ่นแรงตั้งแต่น้อยจนถึงขั้นเสียชีวิตได้

การติดต่อของโรค

ส่วนใหญ่เกิดจากได้รับเชื้อไวรัสเข้าสู่ปากโดยตรง โรคติดต่อง่ายในช่วงสัปดาห์แรกของการป่วย โดยเชื้อไวรัสอาจติดมากับมือ หรือของเล่นที่เปื้อนน้ำลาย น้ำมูก น้ำจากตุ่มพองและแผล หรืออุจจาระของผู้ป่วย และอาจเกิดจากการไอจามรดกัน

...



การแพร่กระจายเชื้อ จะเกิดได้ง่ายมากในเด็กเล็กที่ชอบเล่นคลุกคลีใกล้ชิดกันในโรงเรียนอนุบาล สถานรับเลี้ยงเด็ก หรือญาติพี่น้องที่อยู่รวมกันมากๆ รวมถึงการเล่นของเล่นในที่สาธารณะ ซึ่งในระยะที่เด็กมีอาการทุเลา หรือหายป่วยแล้วประมาณ 1 เดือน ยังคงพบเชื้อได้ในอุจจาระ แต่การติดต่อในระยะนี้จะเกิดขึ้นได้น้อย

อาการของโรค

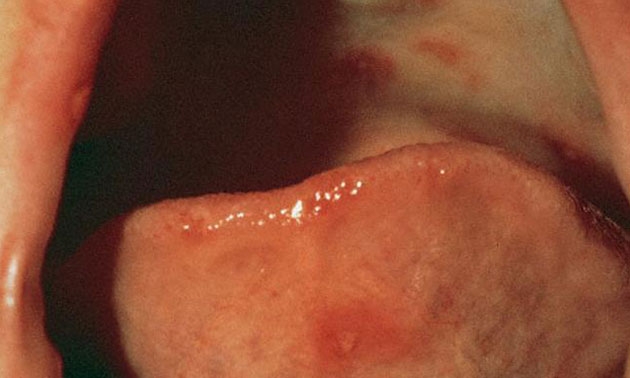
หลังจากได้รับเชื้อ3-6วัน ผู้ติดเชื้อจะเริ่มแสดงอาการป่วย เริ่มด้วยมีไข้ต่ำๆ อ่อนเพลีย ต่อมาอีก1-2 วัน มีตุ่มแดงขนาด 2-8 มิลลิเมตรที่ลิ้น เหงือก และกระพุ้งแก้ม ต่อมาก็จะเห็นเป็นตุ่มน้ำสีเทาเล็กๆ เพราะตุ่มน้ำจะแตกเร็ว เห็นเป็นแผลตื้นๆ สีออกเหลืองเทา และมีผื่นแดงล้อมรอบแผลเล็กๆ อาจรวมเป็นแผลขนาดใหญ่ แผลเหล่านี้มักเจ็บ และทำให้เด็กไม่ยอมรับประทานอาหาร อีกทั้งยังทำให้ลิ้นมีสีแดงและบวมได้ แต่รอยโรคเหล่านี้มักจะหายไปใน 5-10 วัน

สำหรับผื่นที่ผิวหนังนั้น อาจเกิดพร้อมๆ กับแผลในช่องปาก หรือเกิดหลังแผลในช่องปากเล้กน้อย อาจมีเพียง 2-3 จุด หรือมากกว่า 100 จุด โดยพบที่มือมากกว่าที่เท้า รอยโรคมักเป็นที่หลังมือ ด้านข้างของนิ้วมือ หลังเท้าและด้านข้างของนิ้วเท้า มากกว่าที่ฝ่ามือ ฝ่าเท้า และอาจพบที่ก้นได้ด้วย รอยโรคที่ผิวหนังระยะแรกจะเป็นผื่น หรือตุ่มแดง ขนาดเส้นผ่าศูนย์กลาง 2-10 มิลลิเมตร ที่ตรงกลางมีตุ่มน้ำสีเทา มักเรียงตามแนวเส้นของผิวหนัง และมีผื่นแดงล้อมรอบ ผื่นเหล่านี้จะคงอยู่ 2-3 วัน อาจมีอาการเจ็บ กดเจ็บ หรือไม่เจ็บก็ได้ ต่อมาจะเป็นสะเก็ด และตกสะเก็ดใน 7-10 วัน จนผิวแลดูปกติไม่มีแผลเป็น


การรักษา

โรคนี้ไม่มีวัคซีนป้องกันและไม่มียารักษาโดยเฉพาะ แพทย์จะให้การรักษาตามอาการ ซึ่งเป็นการรักษาแบบประคับประคอง ได้แก่
•    เมื่อมีไข้ ให้ยาลดไข้ ร่วมกับเช็ดตัว เพื่อลดไข้เป็นระยะ
•    ให้ผู้ป่วยรับประทานอาหารอ่อนๆ รสไม่จัด ดื่มน้ำและน้ำผลไม้ โดยพิจารณาให้ครั้งละน้อยๆ แต่บ่อยครั้ง
•    ถ้าเป็นเด็กอ่อนอาจต้องป้อนนมให้แทนการดูดจากขวดตามปกติ
•    การรับประทานนมเย็น อมน้ำแข็งก้อนเล็กๆ หรือไอศกรีม จะทำให้แผลไม่ค่อยเจ็บ
•    ถ้าแผลในปากเจ็บมาก อาจลองใช้ยาชาเพื่อทุเลาอาการเจ็บ และสามารถรับประทานได้บ้าง
•    นอนพักผ่อนมากๆ
•    โรคมักไม่รุนแรงและไม่มีอาการแทรกซ้อน แต่เชื้อไวรสบางชนิด อาจทำให้มีอาการรุนแรงได้ จึงควรสังเกตอาการของเด็กอย่างใกล้ชิด หากพบมีไข้สูง ซึม ไม่ยอมรับประทานอาหารและดื่มน้ำ อาเจียนบ่อย หอบ แขนขาอ่อนแรง อาจเกิดภาวะสมองหรือกล้ามเนื้อหัวใจอักเสบ หรือน้ำท่วมปอด ซึ่งอาจรุนแรงถึงขั้นเสียชีวิตได้ ต้องรีบพาไปโรงพยาบาลใกล้บ้านทันที

การป้องกันโรค

•    ป้องกันได้โดยการรักษาสุขอนามัย ผู้ปกครองควรแนะนำบุตรหลาน และผู้เลี้ยงดูเด็กให้รักษาความสะอาด ตัดเล็บให้สั้น หมั่นล้างมือบ่อยๆ ด้วยน้ำและสบู่ โดยเฉพาะหลังการขับถ่าย และก่อนรับประทานอาหาร รวมทั้งการใช้ช้อนกลาง และหลีกเลี่ยงการใช้สิ่งของร่วมกัน เช่น แก้วน้ำ ผ้าเช็ดหน้า และผ้าเช็ดมือ เป็นต้น
•    สถานรับเลี้ยงเด็กและโรงเรียนอนุบาล ต้องจัดให้มีอ่างล้างมือ และส้วมที่ถูกสุขสักษณะ หมั่นดูแลรักษาสุขลักษณะของสถานที่ และอุปกรณ์ให้สะอาดอยู่เสมอ รวมถึงการกำจัดอุจจาระเด็กให้ถูกต้องด้วย
•    หากพบเด็กป่วย ต้องรีบป้องกันไม่ให้เชื้อแพร่ไปยังเด็กคนอื่นๆ ควรแนะนำผู้ปกครองให้รีบพาเด็กไปพบแพทย์ และหยุดรักษาตัวที่บ้านประมาณ 7 วัน หรือจนกว่าจะหายเป็นปกติ ระหว่างนี้ไม่ควรพาเด็กไปในสถานที่แออัด และผู้เลี้ยงดูเด็กต้องล้างมือให้สะอาดทุกครั้งหลังสัมผัสน้ำมูก น้ำลาย หรืออุจจาระเด็กป่วย
•    หากมีเด็กป่วยจำนวนมาก อาจจำเป็นต้องปิดสถานที่ชั่วคราว (1-2 สัปดาห์) เพื่อทำความสะอาดฆ่าเชื้อโรค โดยอาจใช้สารละลายเจือจางของน้ำยาฟอกขาว 1 ส่วนผสมกับน้ำ 30 ส่วน
แพทย์หญิงมณินทรกล่าวปิดท้ายว่า โรคมือเท้าปาก โดยทั่วไปกรณีที่เป็นไม่รุนแรง สามารถหายได้เองภายในเวลา 5-7 วัน หรือไม่เกินสองสัปดาห์ โดยไม่มีภาวะแทรกซ้อนแต่อย่างใด อย่างไรก็ตามผู้ปกครองยังต้องระมัดระวังดูแลเด็กอย่างใกล้ชิด เพราะโรคนี้อาจทำให้เด็กมีไข้สูง จนกระทั่งชักได้ และบางรายอาจเกิดโรคแทรกซ้อนทางระบบประสาทและกล้ามเนื้อหัวใจอักเสบได้ด้วย

Kids Center โรงพยาบาลเวชธานี
www.vejthani.com

...