โรคเกี่ยวกับหลอดเลือดหัวใจเป็นสาเหตุของการเสียชีวิตในอันดับต้นๆ ของทุกประเทศในโลก แม้แต่นักกีฬาที่ถือว่าเป็นบุคคลที่แข็งแรงก็ยังเคยได้ยินข่าวอยู่บ่อยๆ ว่ามีการเสียชีวิตระหว่างแข่งขัน หรือฝึกซ้อม จึงอาจกล่าวได้ว่าเป็นโรคที่มากับความเงียบ (Silent disease) เกิดขึ้นเมื่อไรมักมีอันตรายจนอาจถึงแก่ชีวิตโดยฉับพลันได้

การเกิดโรคเกี่ยวกับหลอดเลือดหัวใจ มีสาเหตุมาจากหลอดเลือดหัวใจมีการอุดตันของการสะสมไขมันในเส้นเลือด หินปูน หรือมีลิ่มเลือดอุดตันที่หลอดเลือดหัวใจ ซึ่งอาจนำไปสู่การเกิดภาวะหัวใจขาดเลือดเฉียบพลัน ทำให้กล้ามเนื้อหัวใจตายในที่สุด

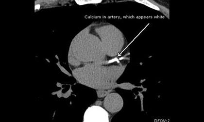
เครื่องมือที่สามารถตรวจคัดกรองปัจจัยเสี่ยงข้างต้น ได้แก่ Calcium score report and CTA Coronary artery ย่อมาจาก Coronary Computed Tomographic Angiography

Calcium score report

...

Calcium score report เป็นการตรวจคัดกรองระดับไขมันและหินปูนเกาะที่หลอดเลือด โดยใช้เครื่องเอกซเรย์คอมพิวเตอร์ความเร็วสูง (MDCT 64 Slices) ในการตรวจเพื่อดูทางเดินของหลอดเลือดหัวใจ ว่ามีภาวะเสี่ยงต่อการอุดตันหรือไม่ ซึ่งวิธีนี้เป็นวิธีการตรวจที่ง่ายและรวดเร็วไม่ต้องมีการเตรียมตัวผู้ป่วยให้ยุ่งยาก เพียงแค่ผู้ตรวจกลั้นใจไม่ถึง 10 วินาที และงดเครื่องดื่มที่มีคาเฟอีน งดสูบบุหรี่เป็นเวลา 4 ชั่วโมงก่อนทำการตรวจ สำหรับรายที่ผู้ป่วยมีอัตราการเต้นหัวใจเกิน 90 ครั้งต่อนาทีจำเป็นต้องได้รับยาเพื่อให้หัวใจเต้นเป็นปกติก่อนตรวจ

ใครบ้างที่เหมาะจะทำการตรวจด้วยวิธี Calcium score report ?

นอกเหนือจากผู้ป่วยที่มีอาการเจ็บหน้าอก หน้ามืด หรือบุคคลที่มีภาวะเสี่ยงต่อการเป็นโรคหัวใจ เช่น อ้วน เหนื่อยง่าย เครียด ในครอบครัวมีประวัติเป็นโรคหัวใจ ทางการแพทย์ถือว่าการรักษาเชิงป้องกัน และตรวจจับโรคได้ก่อนโรคแสดงอาการคือการตรวจสุขภาพสำหรับ ชายอายุเกิน 45 ปี หญิงอายุเกิน 55 ปีหรือวัยหมดประจำเดือน

การรายงานผล Calcium score report เครื่องเอกซเรย์คอมพิวเตอร์ความเร็วสูง (MDCT 64 Slices) จะแสดงถึงค่าตัวเลขตาม NCEP (National Cholesterol Education Program) ดังนี้

Calcium score Presence of Plaque
0 ไม่พบว่าคราบมีไขมันหรือหินปูนเกาะ
1-10 พบว่ามีคราบไขมันหรือหินปูนเกาะเพียงเล็กน้อย
11-100 พบว่ามีคราบไขมันหรือหินปูนเกาะเล็กน้อย
101-400 พบว่ามีคราบไขมันหรือหินปูนเกาะปานกลาง
Over 400 พบว่ามีคราบไขมันหรือหินปูนเกาะมาก

CTA Coronary Artery (Coronary Computed Tomographic Angiography)

การฉีดสีเพื่อตรวจหลอดเลือดหัวใจโดยใช้ MDCT 64 Slices เป็นการตรวจเพื่อค้นหาภาวะหลอดเลือดหัวใจตีบ โดยสามารถบอกระดับความรุนแรงของการตีบของหลอดเลือดที่ไปเลี้ยงกล้ามเนื้อหัวใจได้ หรือใช้ติดตามผลการรักษาในรายที่เคยมีประวัติผ่าตัดหลอดเลือดหัวใจมาก่อน รวมถึงการหาความผิดปกติแต่กำเนิดของหลอดเลือดหัวใจ โดยในปัจจุบันเป็นการตรวจคัดกรองในผู้ป่วยที่มีความเสี่ยง การเตรียมผู้ป่วยที่มีปัจจัยเสี่ยงการเกิดโรคหัวใจ ก่อนทำการผ่าตัดหรือทำหัตถการใหญ่ๆ

ข้อจำกัดในการตรวจ

...

ผู้ป่วยต้องได้รับการควบคุมอัตราการเต้นของหัวใจไม่เกิน 65 ครั้งต่อนาที ซึ่งต้องอยู่ในความดูแลของอายุรแพทย์โรคหัวใจ กรณีที่อัตราการเต้นของหัวใจเกิน อาจจำเป็นต้องได้รับยาก่อนทำการตรวจ

งดน้ำและอาหารอย่างน้อย 4-6 ชั่วโมงก่อนตรวจ เพื่อความปลอดภัยของผู้ป่วย ในกรณีเกิดการแพ้สารทึบรังสี  และต้องมีผล Creatinine (ค่าการทำงานของไต) ทุกครั้ง  เนื่องจากสารทึบรังสีที่ใช้จะถูกขับออกทางปัสสาวะ

ผู้ป่วยต้องสามารถกลั้นใจในการตรวจประมาณ 10 วินาที  ระหว่างการ Scan

กรณีค่า Calcium score เกิน 400 จะอยู่ในดุลยพินิจของรังสีแพทย์และแพทย์โรคหัวใจ ว่าจะทำการตรวจหรือไม่  เพื่อหารอยโรคอื่นที่แพทย์สงสัย

กรณีผู้ป่วยมีข้อจำกัดไม่สามารถทำการตรวจข้างต้นได้ แพทย์อาจตรวจโดยใช้เครื่องมือที่เหมาะสมต่อไป ซี่งมีหลายวิธี

 

สอบถามเพิ่มเติมที่ แผนกรังสีวิทยา
www.vejthani.com