เมื่อต้องสูญเสียฟันแท้ไป นอกจากปัญหาเรื่องระบบการบดเคี้ยวแล้ว ยังส่งผลต่อภาพลักษณ์และความสวยงามของเจ้าของฟันอีกด้วย อย่างไรก็ตาม ทันตแพทย์ก็มีแนวทางในการแก้ไขปัญหา เช่น ใส่ฟันปลอม ทำสะพานฟัน ไปจนถึงการฝังรากฟันเทียม ซึ่งเรียกได้ว่าประสิทธิภาพเกือบจะเทียบได้กับฟันแท้ จนผู้รับการรักษาเผลอลืมไปว่า ฟันแท้ได้หายไปก่อนหน้านี้แล้ว


ภาพฟิล์ม X-Ray

...


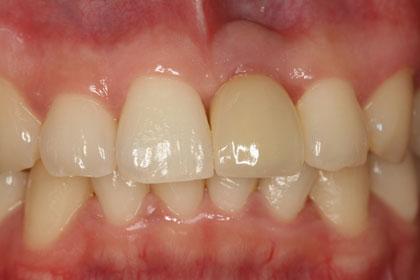
ภาพฟันถาวร

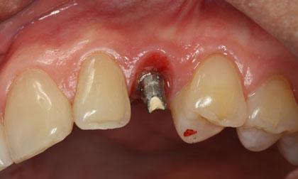
วิวัฒนาการของรากฟันเทียมก้าวหน้าไปมาก จากเดิมเมื่อ 30 ปีที่แล้ว มาจนถึงทุกวันนี้ความก้าวหน้าทางทันตกรรมทำให้เราสามารถใช้รากฟันเทียมเล็กๆ 1 ราก ขนาดเส้นผ่าศูนย์กลาง 3.3 มิลลิเมตร และความยาว 11 มิลลิเมตร โดยทำให้มีพื้นที่ของผิวทั้งหมดเท่ากับรากฟันกรามธรรมชาติ 2 ราก รากฟันเทียมที่กล่าวถึงนี้มีประสิทธิภาพของการยึดเกาะระหว่างรากฟันเทียมกับกระดูกขากรรไกรมีความแข็งแรงมั่นคงดีขึ้นกว่ารูปแบบเดิมๆ ของรากฟันเทียมในสมัยก่อนมาก



ดังนั้น ถ้ากระดูกของผู้รับการรักษามีความแข็งแรงดี ทันตแพทย์สามารถใส่รากฟันเทียมและใส่ฟันในวันเดียวกันได้ และในกรณีปกติ ทันตแพทย์จะรอหลังจากฝังรากฟันเทียมไว้ประมาณ 6 – 8 อาทิตย์ แทนที่จะเป็น 4 – 6 เดือน เหมือนอดีตที่ผ่านมาใช้เวลาน้อยลง แต่ความงามเพิ่มขึ้น

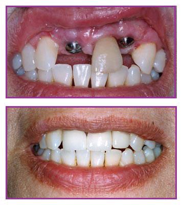
ส่วนความสวยงามโดยเฉพาะบริเวณฟันหน้าที่เกิดอุบัติเหตุ หรือต้องถูกถอนไปจากสาเหตุต่างๆ ทันตแพทย์สามารถใส่รากฟันเทียมทดแทนได้ทันที พร้อมทั้งทำฟันครอบชั่วคราวไว้ประมาณ 6 – 8 อาทิตย์ ก็จะทำการใส่ฟันถาวรได้



ปัจจุบัน ความสวยงามในฟันหน้าทันตแพทย์สามารถกำหนดได้ใกล้เคียงกับฟันธรรมชาติมากขึ้น และสำหรับผู้สูงอายุ หรือ ผู้ที่สูญเสียฟันธรรมชาติทั้งปากไป การใส่รากฟันเทียมมีส่วนเข้ามาช่วยทำให้เคี้ยวอาหารได้ดีขึ้น โดยในขากรรไกรล่างทันตแพทย์จะใส่รากฟันเทียมประมาณ 4 ราก และใส่รวมกับฟันปลอมชนิดถอดได้ทำให้ประสิทธิภาพในการใช้งานดีขึ้นทันที และสามารถใช้บดเคี้ยวอาหารได้เลย

...

กรณีที่ผู้รับการรักษามีกระดูกขากรรไกรมากพอ ทันตแพทย์สามารถใส่รากฟันเทียมร่วมกับการใส่ฟันชนิดติดแน่น ทำให้ไม่ต้องใส่ฟันปลอมชนิดถอดได้ ผู้รับการรักษาก็จะมีความมั่นใจกับรอยยิ้มมากขึ้น อีกทั้งประสิทธิภาพในการเคี้ยวอาหารจะดีขึ้นมากด้วย

ส่วนฟันล่างถ้ากระดูกแข็งแรงดี ก็สามารถใส่รากฟันเทียมพร้อมกับใส่ฟันปลอมชนิดติดแน่นได้เช่นกัน เพียงเท่านี้ เราก็สามารถคืนรอยยิ้มที่สวยสดใสและเพิ่มความมั่นใจให้กับผู้ที่ต้องสูญเสียฟันได้โดยใช้เวลาไม่นาน

ศูนย์ทันตกรรมเดนทัลลิส โรงพยาบาลเวชธานี
www.vejthani.com