เอ่ยถึงโรงพยาบาลที่อยู่คู่กรุงเทพมาอย่างยาวนาน หนึ่งในชื่อแรกๆ ที่หลายคนนึกถึงย่อมต้องเป็น โรงพยาบาลกรุงเทพคริสเตียนซึ่งตั้งอยู่ ณ ย่านสีลม-สุรวงศ์ โรงพยาบาลแห่งนี้ยืนหยัดดูแลสุขภาพทั้งคนไทยและต่างชาติมาอย่างยาวนานกว่า 7 ทศวรรษนับตั้งแต่ก่อตั้งในปี ค.ศ. 1949 โดยโรงพยาบาลกรุงเทพคริสเตียนมุ่งมั่นพัฒนาขีดความสามารถในการให้บริการจนปัจจุบันก้าวขึ้นเป็นโรงพยาบาลระดับตติยภูมิ และยังคงยึดมั่นในปณิธานที่จะให้การบริการที่ดีที่สุดแก่ผู้ป่วยทุกระดับชั้น

ด้วยการดำเนินงานที่เปี่ยมด้วยหัวใจมาอย่างยาวนาน จึงเกิดเป็นสายใยความสัมพันธ์อันแน่นแฟ้นระหว่างโรงพยาบาลและผู้รับบริการ ซึ่งหยั่งรากลึกมาจากความเชื่อมั่นและความไว้วางใจ ด้วยเหตุนี้ ในโอกาสครบรอบ 75 ปี โรงพยาบาลจึงได้ริเริ่มโครงการ "BCH ทำดีเพื่อสังคม: 75 ปี 75 ความดี" มุ่งหวังตอบแทนทุกความไว้วางใจด้วยการมอบความห่วงใยและบริการที่ดียิ่งกว่าเดิมให้กับผู้ป่วย เริ่มต้นปี 2025 นี้ด้วยโครงการตรวจวินิจฉัยโรคด้วยเครื่อง Philips Spectral CT ซึ่งเป็นนวัตกรรม CT Scan ใหม่ล่าสุด

"โรงพยาบาลกรุงเทพคริสเตียนมุ่งมั่นที่จะเป็นโรงพยาบาลที่ให้การรักษาพยาบาลและการบริการที่เป็นเลิศในระดับสากล เราจึงไม่หยุดยั้งที่จะพัฒนาอยู่เสมอ ทั้งด้านบุคลากร บริการ และเครื่องมือแพทย์ที่ทันสมัยเพื่อการดูแลรักษาผู้ป่วยที่มีประสิทธิภาพมากยิ่งขึ้น ในครั้งนี้ก็เช่นกัน เราจึงได้ร่วมกับทางฟิลิปส์ เพื่อนำเทคโนโลยีเครื่องเอ็กซเรย์คอมพิวเตอร์ หรือ CT Scan รุ่นล่าสุดมาให้บริการผู้ป่วย ซึ่งเรามั่นใจว่าจะช่วยให้การตรวจวินิจฉัยเป็นไปอย่างรวดเร็วและมีประสิทธิภาพมากขึ้น ซึ่งจะเป็นประโยชน์ต่อผู้ป่วยอย่างมาก" นายแพทย์ชูศักดิ์ เบญจามิน วงศ์สุรีย์ ผู้อำนวยการโรงพยาบาลกรุงเทพคริสเตียน กล่าว

Philips Spectral CT เทคโนโลยีตรวจวินิจฉัยที่ล้ำสมัยกว่าที่เคย

เครื่อง CT Scan เป็นหนึ่งในเทคโนโลยีสำคัญที่มีการใช้งานอย่างแพร่หลายในการวินิจฉัยโรค โดยมีหลักการทำงานคือการใช้รังสี X-ray เพื่อถ่ายภาพภายในร่างกายแบบละเอียด อย่างไรก็ตามหนึ่งในข้อกังวลที่มักได้รับการพูดถึงคือผลกระทบที่อาจเกิดขึ้นจากการได้รับรังสี แม้โดยปกติการเข้ารับการตรวจด้วย CT Scan จะเกิดขึ้นในกรณีที่จำเป็นตามความเห็นของแพทย์เท่านั้น แต่สำหรับผู้ป่วยบางรายที่ต้องเข้ารับการตรวจบ่อยครั้ง อาจเพิ่มความเสี่ยงในการได้รับรังสีในปริมาณมาก นอกจากนี้ การตรวจด้วยเทคโนโลยี CT Scan แบบเดิมยังมีข้อจำกัด เช่น กรณีที่ฉีดปริมาณสารทึบรังสีได้น้อยหรือกรณีต้องการแยกรายละเอียดเนื้อเยื่อหรือองค์ประกอบแร่ธาตุของรอยโรค หรือกรณีมีโลหะในร่างกายทำให้เกิดเงาบังเนื้อเยื่อรอบข้าง ทำให้การตรวจวินิจฉัยโรคบางประเภททำได้ยากลำบาก

ด้วยข้อจำกัดเหล่านี้ นวัตกรรมใหม่จึงได้ถูกคิดค้นขึ้น เกิดเป็นเครื่องมือ "Philips Spectral CT" ที่เข้ามาเปลี่ยนโฉมหน้าการวินิจฉัยด้วยรังสีอย่างสิ้นเชิง แม้ว่า Philips Spectral CT จะยังคงใช้รังสี X-ray เหมือนกับเครื่อง CT รุ่นเก่า แต่ได้รับการพัฒนาให้มีความสามารถเพิ่มมากขึ้นในทุกมิติ โดยเฉพาะอย่างยิ่งในสองประเด็นสำคัญคือ การลดปริมาณรังสีที่ใช้ และการเพิ่มความสามารถในการสแกนเพื่อให้ได้ภาพที่มีรายละเอียดมากขึ้นในการสแกนเพียงครั้งเดียว ซึ่งมีประโยชน์อย่างยิ่งในการวินิจฉัยโรค โดยเฉพาะในกลุ่มผู้ป่วยเด็ก ผู้ป่วยที่ต้องเข้ารับการตรวจบ่อยครั้ง เช่น ผู้ป่วยโรคเรื้อรัง หรือผู้ที่ต้องติดตามอาการอย่างต่อเนื่อง

นอกจากนี้ เมื่อพิจารณาในรายละเอียดจะพบว่าเครื่องมือนี้ยังมีข้อดีที่หลากหลาย ซึ่งล้วนเป็นประโยชน์อย่างมากแก่ผู้ป่วย อาทิ

ความสามารถในการปรับความเข้มของสารทึบรังสีในภาพ ทำให้แพทย์สามารถเห็นความแตกต่างระหว่างเนื้อเยื่อปกติกับรอยโรคได้อย่างชัดเจน สิ่งที่พิเศษยิ่งกว่านั้นคือแพทย์สามารถใช้สารทึบรังสีในปริมาณที่น้อยลง ซึ่งถือเป็นประโยชน์อย่างยิ่งสำหรับผู้ป่วยโรคไตและเด็กๆ ที่ต้องระมัดระวังเรื่องสารเหล่านี้เป็นพิเศษ

(ซ้าย: ภาพ CT ทั่วไป / ขวา: ภาพ Spectral CT)
(ซ้าย: ภาพ CT ทั่วไป / ขวา: ภาพ Spectral CT)

ตรวจนิ่วและเกาต์ได้ละเอียดยิ่งขึ้น ด้วยความสามารถในการแยกแยะองค์ประกอบทางเคมีในร่างกาย เช่น กรดยูริก ทำให้แพทย์สามารถระบุชนิดของนิ่วในร่างกายผู้ป่วยได้อย่างแม่นยำ นำไปสู่วิธีการรักษาที่มีประสิทธิภาพสูงสุด สำหรับผู้ป่วยเกาต์ เครื่องนี้ไม่เพียงแค่ช่วยในการวินิจฉัยโรค แต่ยังสามารถวัดปริมาตรรอยโรคในข้อและสร้างเป็นภาพ 3D ให้แพทย์ตรวจสอบได้ในคราวเดียว

(แถวซ้าย: ภาพ CT ทั่วไป / แถวกลางและขวา: ภาพ Spectral CT)
(แถวซ้าย: ภาพ CT ทั่วไป / แถวกลางและขวา: ภาพ Spectral CT)

(ซ้าย: ภาพ CT ทั่วไป / ภาพที่ 2-4 จากซ้าย: ภาพ Spectral CT)
(ซ้าย: ภาพ CT ทั่วไป / ภาพที่ 2-4 จากซ้าย: ภาพ Spectral CT)

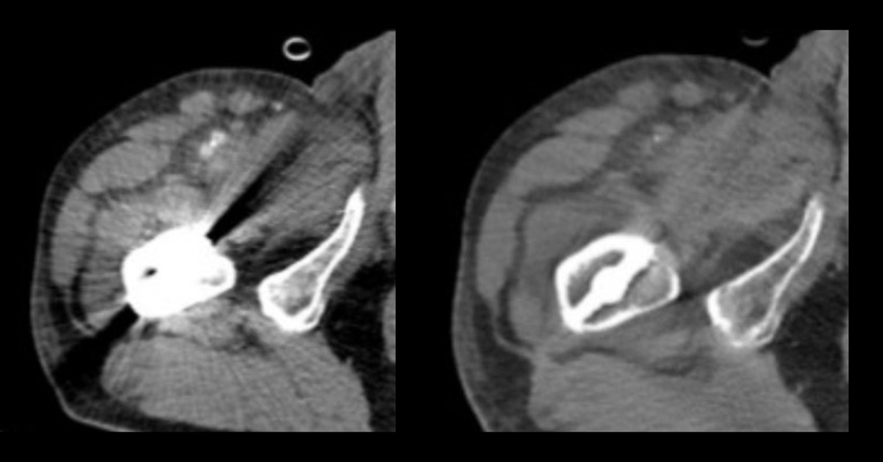
ใช้ได้กับผู้ที่มีโลหะในร่างกาย แต่ก่อนผู้ที่มีเหล็กดามกระดูกหรือข้อเทียมมักประสบปัญหาเมื่อต้องตรวจด้วย CT Scan เนื่องจากเกิดสัญญาณรบกวนในภาพ แต่เครื่องรุ่นนี้มีโปรแกรมพิเศษ (Metal Artifact Reduction) ที่ช่วยลดสัญญาณรบกวนเหล่านั้น ทำให้แพทย์มองเห็นได้ชัดเจนยิ่งขึ้น แม้ผู้ป่วยจะมีโลหะในร่างกายก็ตาม

(ซ้าย: ภาพ CT ทั่วไป / ขวา: ภาพ Spectral CT)
(ซ้าย: ภาพ CT ทั่วไป / ขวา: ภาพ Spectral CT)

มาพร้อมเทคโนโลยี Virtual Non Contrast Imaging สามารถนำภาพหลังการฉีดสารทึบรังสีมาสร้างเป็นภาพเสมือนก่อนฉีดได้ ช่วยลดจำนวนครั้งในการสแกนและลดปริมาณรังสีที่ผู้ป่วยจะได้รับซึ่งจะเป็นประโยชน์แก่ผู้ป่วย โดยเฉพาะอย่างยิ่งในกลุ่มเด็กและผู้ป่วยมะเร็งที่ต้องได้รับการตรวจติดตามอย่างสม่ำเสมอ

(ซ้าย: ภาพ CT ทั่วไปก่อนฉีดสารทึบรังสี / ขวา: ภาพเสมือนก่อนฉีดสารทึบรังสี)
(ซ้าย: ภาพ CT ทั่วไปก่อนฉีดสารทึบรังสี / ขวา: ภาพเสมือนก่อนฉีดสารทึบรังสี)

คุณสมบัติ Calcium Suppression ช่วยตัดสัญญาณแคลเซียมออกไป ทำให้แพทย์สามารถเห็นเนื้อเยื่อหรือโครงสร้างที่ซ่อนอยู่ด้านหลังได้อย่างชัดเจน เป็นประโยชน์อย่างมากในการตรวจหลอดเลือดตีบหรือตุ่มเนื้อที่อาจซ่อนอยู่หลังแคลเซียม

เสริมศักยภาพการตรวจวินิจฉัยด้วยเทคโนโลยี Fast Scan Speed ทำให้การสแกนแต่ละครั้งมีความรวดเร็วยิ่งขึ้น

ปฏิเสธไม่ได้ว่าการติดตั้งอุปกรณ์ Philips Spectral CT ทำให้โรงพยาบาลกรุงเทพคริสเตียนกลายเป็นหนึ่งในสถานพยาบาลตติยภูมิที่มีความพร้อมในการดูแลรักษาผู้ป่วยได้อย่างรอบด้านและครอบคลุมในหลากหลายมิติยิ่งกว่าเคย โดย แพทย์หญิงพามดา สุวรรณพานิช หัวหน้าส่วนสนับสนุนทางการแพทย์และแพทย์ผู้เชี่ยวชาญด้านรังสีวินิจฉัย โรงพยาบาลกรุงเทพคริสเตียน ได้กล่าวว่า "โรงพยาบาลกรุงเทพคริสเตียนพร้อมให้บริการด้วยทีมแพทย์และบุคลากรผู้เชี่ยวชาญด้านการใช้เครื่องตรวจรังสีวินิจฉัยที่มีความสามารถในการรองรับผู้ป่วยได้อย่างเต็มที่ การติดตั้งเครื่อง Spectral CT รุ่นใหม่ตั้งแต่เดือนตุลาคม 2567 ช่วยเสริมศักยภาพในการตรวจวินิจฉัยที่รวดเร็วและแม่นยำยิ่งขึ้น รองรับผู้ป่วยทุกช่วงอายุ ตั้งแต่เด็กจนถึงผู้สูงอายุ ขึ้นอยู่กับความจำเป็นในการตรวจ โดยการติดตั้งเครื่องนี้เป็นส่วนหนึ่งของกลยุทธ์ที่โรงพยาบาลตั้งใจยกระดับการบริการเพื่อเป็นโรงพยาบาลชั้นนำที่ให้การรักษาพยาบาลและบริการที่เป็นเลิศในระดับสากลในการดูแลสุขภาพผู้คนทั้งไทยและต่างประเทศ"

75 ปี แห่งการดูแลสังคมไทย พร้อมก้าวต่อไปสู่อนาคต

ตลอดระยะเวลา 75 ปีที่ผ่านมา โรงพยาบาลกรุงเทพคริสเตียนได้มุ่งมั่นพัฒนาคุณภาพการรักษาพยาบาลอย่างไม่หยุดยั้ง การลงทุนในเทคโนโลยีล้ำสมัยอย่างเครื่อง Philips Spectral CT สะท้อนถึงความตั้งใจที่จะยกระดับมาตรฐานการดูแลผู้ป่วยทั้งชาวไทยและชาวต่างชาติให้ได้รับการวินิจฉัยที่แม่นยำ รวดเร็ว และลดความเสี่ยงต่างๆ ลงให้เหลือน้อยที่สุด

นอกจากนี้ โรงพยาบาลกรุงเทพคริสเตียนยังได้จัดกิจกรรมที่หลากหลายภายใต้โครงการ "BCH ทำดีเพื่อสังคม" อาทิ การร่วมมือกับโรงพยาบาลคริสเตียนสังขละบุรี จัดโครงการ "BCH ส่งต่อความรัก" บริการแพทย์เคลื่อนที่เพื่อชุมชนในพื้นที่อำเภอสังขละบุรี จังหวัดกาญจนบุรี, การจัดหน่วยแพทย์เคลื่อนที่ให้บริการพี่น้องชุมชนคลองเตยในการตรวจรักษา จ่ายยา และทีมเยี่ยมบ้าน รวมไปถึงการสนับสนุนถุงยังชีพเพื่อช่วยเหลือพี่น้องชาวจังหวัดเชียงรายที่ประสบภัยน้ำป่า เป็นต้น

ความมุ่งมั่นตั้งใจที่ถ่ายทอดผ่านการลงมือทำมาอย่างต่อเนื่องยาวนานในทุกมิติ ไม่ว่าจะเป็นการพัฒนาเทคโนโลยีหรือการจัดกิจกรรมเพื่อสังคม ล้วนตอกย้ำให้เห็นถึงปณิธานอันแน่วแน่ของโรงพยาบาลกรุงเทพคริสเตียนที่ไม่ได้ต้องการเป็นเพียงสถานพยาบาล แต่ยังมุ่งหวังเป็นส่วนหนึ่งในการยกระดับคุณภาพชีวิตของผู้คน เพื่อมุ่งสู่อนาคตของการให้บริการทางการแพทย์ที่เป็นเลิศในระดับสากล ตามวิสัยทัศน์ที่ได้ยึดถือมาตลอด 75 ปี และจะยังคงสานต่อไปในอนาคตอย่างไม่หยุดยั้ง